5-Methylcytosine / 5-mC抗体 [GT4111]

目录号 GTX629448
目录号  GTX629448
Anti-5-Methylcytosine / 5-mC antibody [GT4111] used in Methylated DNA Immunoprecipitation (MeDIP). GTX629448
GTX629448 MeDIP Image

GTX629448 5-Methylcytosine/ 5-mC antibody [GT4111] in MeDIP experiment.
Human genomic DNA (500 ng) mixed with methylated cytosine standard kit (GTX400004) were subjected to MeDIP with 5-Methylcytosine/ 5-mC antibody [GT4111] (GTX629448) at dilution of 1:500 and analyzed with semi-quantitative PCR. The immunoprecipitated DNA was plotted as % of input DNA.

1 / 8
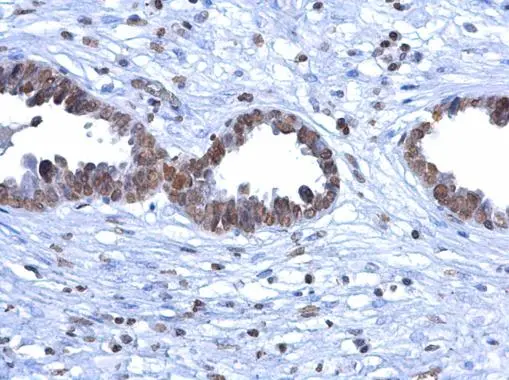
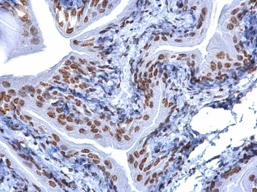
Anti-5-Methylcytosine / 5-mC antibody [GT4111] used in IHC (Paraffin sections) (IHC-P). GTX629448
GTX629448 IHC-P Image

5-Methylcytosine / 5-mC antibody [GT4111] detects 5-Methylcytosine / 5-mC protein at nucleus on human ovarian carcinoma by immunohistochemical analysis.
Sample: Paraffin-embedded human ovarian carcinoma.
5-Methylcytosine / 5-mC antibody [GT4111] (GTX629448) dilution: 1:200.
Antigen Retrieval: Citrate buffer, pH 6.0, 15 min

2 / 8
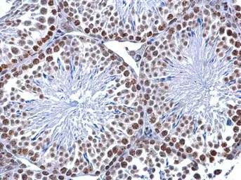
Anti-5-Methylcytosine / 5-mC antibody [GT4111] used in IHC (Paraffin sections) (IHC-P). GTX629448
GTX629448 IHC-P Image

5-Methylcytosine / 5-mC antibody [GT4111] detects 5-Methylcytosine / 5-mC protein at nucleus on mouse testis by immunohistochemical analysis.
Sample: Paraffin-embedded mouse testis.
5-Methylcytosine / 5-mC antibody [GT4111] (GTX629448) dilution: 1:200.
Antigen Retrieval: Citrate buffer, pH 6.0, 15 min

3 / 8
Anti-5-Methylcytosine / 5-mC antibody [GT4111] used in IHC (Whole mount) (IHC-Wm). GTX629448
GTX629448 IHC-Wm Image

5-Methylcytosine / 5-mC antibody [GT4111] detects 5-Methylcytosine / 5-mC protein on zebrafish by whole mount immunohistochemical analysis.
Sample: 24 hours-post-fertilization zebrafish embryo.
5-Methylcytosine / 5-mC antibody [GT4111] (GTX629448) dilution: 1:50.

4 / 8
Anti-5-Methylcytosine / 5-mC antibody [GT4111] used in IHC (Paraffin sections) (IHC-P). GTX629448
GTX629448 IHC-P Image

5-Methylcytosine / 5-mC antibody [GT4111] detects 5-Methylcytosine / 5-mC protein at nucleus on mouse urinary bladder by immunohistochemical analysis.
Sample: Paraffin-embedded mouse urinary bladder.
5-Methylcytosine / 5-mC antibody [GT4111] (GTX629448) dilution: 1:200.
Antigen Retrieval: Citrate buffer, pH 6.0, 15 min

5 / 8
Anti-5-Methylcytosine / 5-mC antibody [GT4111] used in IHC (Paraffin sections) (IHC-P). GTX629448
GTX629448 IHC-P Image

5-Methylcytosine / 5-mC antibody [GT4111] detects 5-Methylcytosine / 5-mC protein at nucleolus in rat brain by immunohistochemical analysis.
Sample: Paraffin-embedded rat brain.
5-Methylcytosine / 5-mC antibody [GT4111] (GTX629448) diluted at 1:200.
Antigen Retrieval: Citrate buffer, pH 6.0, 15 min

6 / 8
Anti-5-Methylcytosine / 5-mC antibody [GT4111] used in IHC (Whole mount) (IHC-Wm). GTX629448
GTX629448 IHC-Wm Image

5-Methylcytosine / 5-mC antibody [GT4111] detects 5-Methylcytosine / 5-mC protein on zebrafish by whole mount immunohistochemical analysis.
Sample: 24 hours-post-fertilization zebrafish embryo.
5-Methylcytosine / 5-mC antibody [GT4111] (GTX629448) dilution: 1:50.

7 / 8
Anti-5-Methylcytosine / 5-mC antibody [GT4111] used in Dot blot (Dot). GTX629448
GTX629448 Dot Image

GTX629448 5-methylcytosine antibody [GT4111] Dot blot analysis of anti-5-mC antibody with the synthetic DNA controls (GTX400004). DNA samples (0.5 to 50 ng) were spotted onto positively charged nylon membrane and blotted with 5-mC antibody (GTX629448) at a dilution of 1:500. A: Unmethylated DNA fragment B: DNA fragment containing 5-methylcytosine C: DNA fragment containing 5-hydroxymethylcytosine D: DNA fragment containing 5-formylcytosine E: DNA fragment containing 5-carboxylcytosine

8 / 8
Anti-5-Methylcytosine / 5-mC antibody [GT4111] used in Methylated DNA Immunoprecipitation (MeDIP). GTX629448
Anti-5-Methylcytosine / 5-mC antibody [GT4111] used in IHC (Paraffin sections) (IHC-P). GTX629448
Anti-5-Methylcytosine / 5-mC antibody [GT4111] used in IHC (Paraffin sections) (IHC-P). GTX629448
Anti-5-Methylcytosine / 5-mC antibody [GT4111] used in IHC (Whole mount) (IHC-Wm). GTX629448
Anti-5-Methylcytosine / 5-mC antibody [GT4111] used in IHC (Paraffin sections) (IHC-P). GTX629448
Anti-5-Methylcytosine / 5-mC antibody [GT4111] used in IHC (Paraffin sections) (IHC-P). GTX629448
Anti-5-Methylcytosine / 5-mC antibody [GT4111] used in IHC (Whole mount) (IHC-Wm). GTX629448
Anti-5-Methylcytosine / 5-mC antibody [GT4111] used in Dot blot (Dot). GTX629448
  • 宿主
    Mouse
  • 克隆
    Monoclonal
  • 克隆编号
    GT4111
  • 同种型
    IgG1
  • 实验应用
    IHC-P IHC-Fr IHC-Wm Dot EM MeDIP
  • 种属反应
    Species independent
摘要
5-mC antibody detects methylated cytosine, which is a key epigenetic regulatory modification of genomic DNA and is considered a “fifth base”. The 5-mC mark is added by DNA methyltransferases (DNMTs) and serves predominately to turn off gene transcription. It is reversible via a DNA demethylation pathway triggered by the Ten-eleven translocation (TET) family of dioxygenases.
查看所有 5-Methylcytosine / 5-mC 的产品