ACE抗体

目录号 GTX54938
目录号  GTX54938
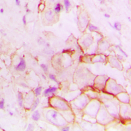
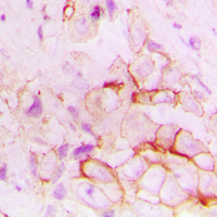
Anti-ACE antibody used in IHC (Paraffin sections) (IHC-P). GTX54938
GTX54938 IHC-P Image

IHC-P analysis of formalin fixed human breast cancer tissue section using GTX54938 ACE antibody.
Antigen retrieval : Heat mediated antigen retrieval with sodium citrate buffer (pH 6.0)

1 / 2
Anti-ACE antibody used in Western Blot (WB). GTX54938
GTX54938 WB Image

WB analysis of HeLa (A), mouse kidney (B), rat liver (C), PC12 (D) whole cell lysates using GTX54938 ACE antibody.

2 / 2
Anti-ACE antibody used in IHC (Paraffin sections) (IHC-P). GTX54938
Anti-ACE antibody used in Western Blot (WB). GTX54938
  • 宿主
    Rabbit
  • 克隆
    Polyclonal
  • 同种型
    IgG
  • 实验应用
    WB IHC-P
  • 种属反应
    Human, Mouse, Rat
查看所有 ACE 的产品