ACE2抗体 [SN0754]

目录号 GTX01160
目录号  GTX01160
Anti-ACE2 antibody [SN0754] used in Western Blot (WB). GTX01160
GTX01160 WB Image

Non-transfected (–) and transfected (+) Caco-2 whole cell extracts (30 μg) were separated by 7.5% SDS-PAGE, and the membrane was blotted with ACE2 antibody [SN0754] (GTX01160) diluted at 1:500. The HRP-conjugated anti-rabbit IgG antibody (GTX213110-01) was used to detect the primary antibody, and the signal was developed with Trident ECL plus-Enhanced.

1 / 15
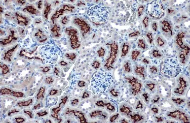
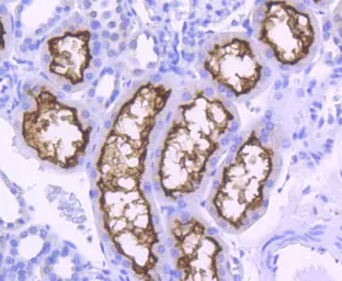
Anti-ACE2 antibody [SN0754] used in IHC (Paraffin sections) (IHC-P). GTX01160
GTX01160 IHC-P Image

ACE2 antibody [SN0754] detects ACE2 protein at cell membrane by immunohistochemical analysis.
Sample: Paraffin-embedded human kidney.
ACE2 stained by ACE2 antibody [SN0754] (GTX01160) diluted at 1:500.
Antigen Retrieval: Citrate buffer, pH 6.0, 15 min

2 / 15
Anti-ACE2 antibody [SN0754] used in Immunocytochemistry/ Immunofluorescence (ICC/IF). GTX01160
GTX01160 ICC/IF Image

ACE2 antibody [SN0754] detects ACE2 protein at cell membrane by immunofluorescent analysis.
Sample: Vero E6 cells were fixed in ice-cold MeOH for 5 min.
Green: ACE2 stained by ACE2 antibody [SN0754] (GTX01160) diluted at 1:500.
Blue: Fluoroshield with DAPI (GTX30920).
Scale bar= 10 μm.

3 / 15
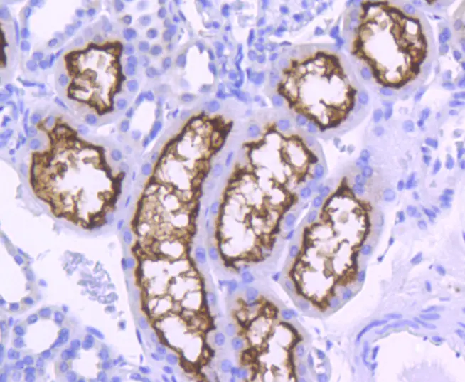
Anti-ACE2 antibody [SN0754] used in IHC (Paraffin sections) (IHC-P). GTX01160
GTX01160 IHC-P Image

ACE2 antibody [SN0754] detects ACE2 protein at cell membrane by immunohistochemical analysis.
Sample: Paraffin-embedded human kidney.
ACE2 stained by ACE2 antibody [SN0754] (GTX01160) diluted at 1:2000.
Antigen Retrieval: Citrate buffer, pH 6.0, 15 min

4 / 15
Anti-ACE2 antibody [SN0754] used in Western Blot (WB). GTX01160
GTX01160 WB Image

Mouse tissue extract (50 μg) was separated by 10% SDS-PAGE, and the membrane was blotted with ACE2 antibody [SN0754] (GTX01160) diluted at 1:500. The HRP-conjugated anti-rabbit IgG antibody (GTX213110-01) was used to detect the primary antibody.

5 / 15
Anti-ACE2 antibody [SN0754] used in Western Blot (WB). GTX01160
GTX01160 WB Image

Human tissue extract (30 μg) was separated by 7.5% SDS-PAGE, and the membrane was blotted with ACE2 antibody [SN0754] (GTX01160) diluted at 1:500. The HRP-conjugated anti-rabbit IgG antibody (GTX213110-01) was used to detect the primary antibody.

6 / 15
Anti-ACE2 antibody [SN0754] used in Western Blot (WB). GTX01160
GTX01160 WB Image

Untreated (–) and treated (+) Vero E6 whole cell extracts (30 μg) were separated by 7.5% SDS-PAGE, and the membrane was blotted with ACE2 antibody [SN0754] (GTX01160) diluted at 1:500. The HRP-conjugated anti-rabbit IgG antibody (GTX213110-01) was used to detect the primary antibody.

7 / 15
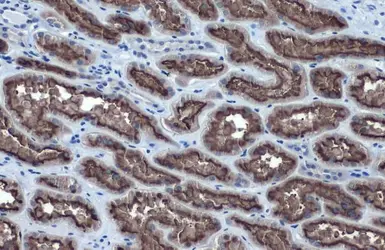
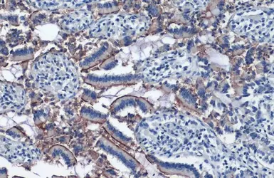
Anti-ACE2 antibody [SN0754] used in IHC (Paraffin sections) (IHC-P). GTX01160
GTX01160 IHC-P Image

ACE2 antibody [SN0754] detects ACE2 protein at cell membrane by immunohistochemical analysis.
Sample: Paraffin-embedded human intestine.
ACE2 stained by ACE2 antibody [SN0754] (GTX01160) diluted at 1:2000.
Antigen Retrieval: Citrate buffer, pH 6.0, 15 min

8 / 15
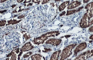
Anti-ACE2 antibody [SN0754] used in IHC (Paraffin sections) (IHC-P). GTX01160
GTX01160 IHC-P Image

ACE2 antibody [SN0754] detects ACE2 protein at cell membrane by immunohistochemical analysis.
Sample: Paraffin-embedded rat kidney.
ACE2 stained by ACE2 antibody [SN0754] (GTX01160) diluted at 1:2000.
Antigen Retrieval: Citrate buffer, pH 6.0, 15 min

9 / 15
Anti-ACE2 antibody [SN0754] used in IHC (Paraffin sections) (IHC-P). GTX01160
GTX01160 IHC-P Image

ACE2 antibody [SN0754] detects ACE2 protein at cell membrane by immunohistochemical analysis.
Sample: Paraffin-embedded mouse kidney.
ACE2 stained by ACE2 antibody [SN0754] (GTX01160) diluted at 1:2000.
Antigen Retrieval: Citrate buffer, pH 6.0, 15 min

10 / 15
Anti-ACE2 antibody [SN0754] used in IHC (Paraffin sections) (IHC-P). GTX01160
GTX01160 IHC-P Image

IHC-P analysis of human kidney tissue section using GTX01160 ACE2 antibody [SN0754].

11 / 15
Anti-ACE2 antibody [SN0754] used in Western Blot (WB). GTX01160
GTX01160 WB Image

The data was published in the 2022 in PLoS Pathog. PMID: 35231079

12 / 15
Anti-ACE2 antibody [SN0754] used in Western Blot (WB). GTX01160
GTX01160 WB Image

The data was published in the 2022 in PLoS Pathog. PMID: 35231079

13 / 15
Anti-ACE2 antibody [SN0754] used in Western Blot (WB). GTX01160
GTX01160 WB Image

The data was published in the 2022 in PLoS Pathog. PMID: 35231079

14 / 15
Anti-ACE2 antibody [SN0754] used in Western Blot (WB). GTX01160
GTX01160 WB Image

The data was published in the 2022 in J Cell Mol Med. PMID: 34821008

15 / 15
Anti-ACE2 antibody [SN0754] used in Western Blot (WB). GTX01160
Anti-ACE2 antibody [SN0754] used in IHC (Paraffin sections) (IHC-P). GTX01160
Anti-ACE2 antibody [SN0754] used in Immunocytochemistry/ Immunofluorescence (ICC/IF). GTX01160
Anti-ACE2 antibody [SN0754] used in IHC (Paraffin sections) (IHC-P). GTX01160
Anti-ACE2 antibody [SN0754] used in Western Blot (WB). GTX01160
Anti-ACE2 antibody [SN0754] used in Western Blot (WB). GTX01160
Anti-ACE2 antibody [SN0754] used in Western Blot (WB). GTX01160
Anti-ACE2 antibody [SN0754] used in IHC (Paraffin sections) (IHC-P). GTX01160
Anti-ACE2 antibody [SN0754] used in IHC (Paraffin sections) (IHC-P). GTX01160
Anti-ACE2 antibody [SN0754] used in IHC (Paraffin sections) (IHC-P). GTX01160
Anti-ACE2 antibody [SN0754] used in IHC (Paraffin sections) (IHC-P). GTX01160
Anti-ACE2 antibody [SN0754] used in Western Blot (WB). GTX01160
Anti-ACE2 antibody [SN0754] used in Western Blot (WB). GTX01160
Anti-ACE2 antibody [SN0754] used in Western Blot (WB). GTX01160
Anti-ACE2 antibody [SN0754] used in Western Blot (WB). GTX01160
  • 宿主
    Rabbit
  • 克隆
    Monoclonal
  • 克隆编号
    SN0754
  • 同种型
    IgG
  • 实验应用
    WB ICC/IF IHC-P
  • 种属反应
    Human, Mouse, Rat, African green monkey
查看所有 ACE2 的产品