ADAMTSL2抗体 [C3], C-term

目录号 GTX102069
目录号  GTX102069
Anti-ADAMTSL2 antibody [C3], C-term used in Western Blot (WB). GTX102069
GTX102069 WB Image

C2Cl2 whole cell and differentiated extracts (30 μg) were separated by 5% SDS-PAGE, and the membrane was blotted with ADAMTSL2 antibody [C3], C-term (GTX102069) diluted at 1:1000. The HRP-conjugated anti-rabbit IgG antibody (GTX213110-01) was used to detect the primary antibody, and the signal was developed with Trident ECL plus-Enhanced.

1 / 4
Anti-ADAMTSL2 antibody [C3], C-term used in IHC (Paraffin sections) (IHC-P). GTX102069
GTX102069 IHC-P Image

ADAMTSL2 antibody [C3], C-term detects ADAMTSL2 protein by immunohistochemical analysis.
Sample: Paraffin-embedded rat tissues.
ADAMTSL2 stained by ADAMTSL2 antibody [C3], C-term (GTX102069) diluted at 1:100.
Antigen Retrieval: Citrate buffer, pH 6.0, 15 min

2 / 4
Anti-ADAMTSL2 antibody [C3], C-term used in Western Blot (WB). GTX102069
GTX102069 WB Image

HepG2 whole cell extract and conditioned medium (30 μg) were separated by 7.5% SDS-PAGE, and the membrane was blotted with ADAMTSL2 antibody [C3], C-term (GTX102069) diluted at 1:500. The HRP-conjugated anti-rabbit IgG antibody (GTX213110-01) was used to detect the primary antibody.

3 / 4
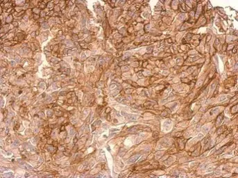
Anti-ADAMTSL2 antibody [C3], C-term used in IHC (Paraffin sections) (IHC-P). GTX102069
GTX102069 IHC-P Image

ADAMTSL2 antibody [C3], C-term detects ADAMTSL2 protein at cytosol(secreted) on SkHep1xenograft by immunohistochemical analysis.
Sample: Paraffin-embedded SkHep1xenograft.
ADAMTSL2 antibody [C3], C-term (GTX102069) dilution: 1:500.

Antigen Retrieval: Trilogy™ (EDTA based, pH 8.0) buffer, 15min

4 / 4
Anti-ADAMTSL2 antibody [C3], C-term used in Western Blot (WB). GTX102069
Anti-ADAMTSL2 antibody [C3], C-term used in IHC (Paraffin sections) (IHC-P). GTX102069
Anti-ADAMTSL2 antibody [C3], C-term used in Western Blot (WB). GTX102069
Anti-ADAMTSL2 antibody [C3], C-term used in IHC (Paraffin sections) (IHC-P). GTX102069
  • 宿主
    Rabbit
  • 克隆
    Polyclonal
  • 同种型
    IgG
  • 实验应用
    WB IHC-P
  • 种属反应
    Human, Mouse, Rat
查看所有 ADAMTSL2 的产品