ADH4抗体

目录号 GTX32994
目录号  GTX32994
Anti-ADH4 antibody used in Western Blot (WB). GTX32994
GTX32994 WB Image

WB analysis of mouse liver tissue lysate using GTX32994 ADH4 antibody.
Dilution : 1:1000
Loading : 25μg per lane

1 / 2
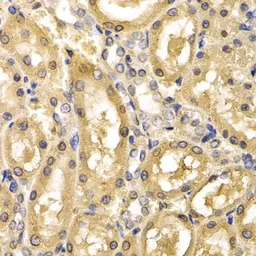
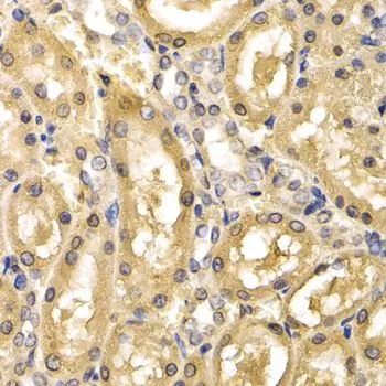
Anti-ADH4 antibody used in IHC (Paraffin sections) (IHC-P). GTX32994
GTX32994 IHC-P Image

IHC-P analysis of rat kidney tissue using GTX32994 ADH4 antibody.
Dilution : 1:200

2 / 2
Anti-ADH4 antibody used in Western Blot (WB). GTX32994
Anti-ADH4 antibody used in IHC (Paraffin sections) (IHC-P). GTX32994
  • 宿主
    Rabbit
  • 克隆
    Polyclonal
  • 同种型
    IgG
  • 实验应用
    WB IHC-P
  • 种属反应
    Mouse, Rat
查看所有 ADH4 的产品