APC抗体 [C3], C-term

目录号 GTX116009
目录号  GTX116009
Anti-APC antibody [C3], C-term used in Western Blot (WB). GTX116009
GTX116009 WB Image

Non-transfected (–) and transfected (+) unboiled HeLa whole cell extracts (30 μg) were separated by 5% SDS-PAGE, and the membrane was blotted with APC antibody [C3], C-term (GTX116009) diluted at 1:1000. The HRP-conjugated anti-rabbit IgG antibody (GTX213110-01) was used to detect the primary antibody.

1 / 6
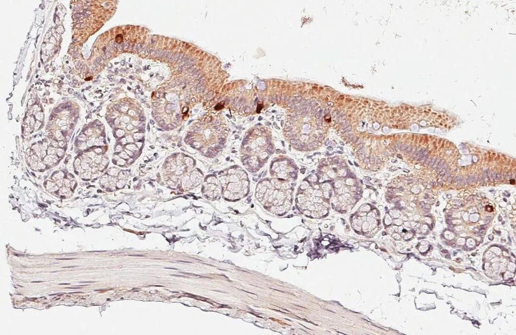
Anti-APC antibody [C3], C-term used in IHC (Paraffin sections) (IHC-P). GTX116009
GTX116009 IHC-P Image

APC antibody [C3], C-term detects APC protein at cytoplasm in rat colon by immunohistochemical analysis.
Sample: Paraffin-embedded rat colon.
APC antibody [C3], C-term (GTX116009) diluted at 1:500.

Antigen Retrieval: Citrate buffer, pH 6.0, 15 min

2 / 6
Anti-APC antibody [C3], C-term used in Western Blot (WB). GTX116009
GTX116009 WB Image

Various whole cell extracts (30 μg) were separated by 5% SDS-PAGE, and the membrane was blotted with APC antibody [C3], C-term (GTX116009) diluted at 1:500. The HRP-conjugated anti-rabbit IgG antibody (GTX213110-01) was used to detect the primary antibody.

3 / 6
Anti-APC antibody [C3], C-term used in Immunocytochemistry/ Immunofluorescence (ICC/IF). GTX116009
GTX116009 ICC/IF Image

Immunofluorescence analysis of methanol-fixed A431, using APC(GTX116009) antibody at 1:500 dilution.

4 / 6
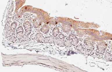
Anti-APC antibody [C3], C-term used in IHC (Paraffin sections) (IHC-P). GTX116009
GTX116009 IHC-P Image

APC antibody [C3], C-term detects APC protein at cytoplasm by immunohistochemical analysis (Autostainer Formulated).
Sample: Paraffin-embedded human colon cancer.
APC stained by APC antibody [C3], C-term (GTX116009) diluted at 1:500.
Antigen Retrieval: Citrate buffer, 20 min

5 / 6
Anti-APC antibody [C3], C-term used in Immunocytochemistry/ Immunofluorescence (ICC/IF). GTX116009
GTX116009 ICC/IF Image

APC antibody [C3], C-term detects APC protein at cytoplasm by immunofluorescent analysis.
Sample: HeLa cells were fixed in 4% paraformaldehyde at RT for 15 min.
Green: APC protein stained by APC antibody [C3], C-term (GTX116009) diluted at 1:1000.
Red: alpha Tubulin, a cytoskeleton marker, stained by alpha Tubulin antibody [GT114] (GTX628802) diluted at 1:1000.
Blue: Hoechst 33342 staining.

6 / 6
Anti-APC antibody [C3], C-term used in Western Blot (WB). GTX116009
Anti-APC antibody [C3], C-term used in IHC (Paraffin sections) (IHC-P). GTX116009
Anti-APC antibody [C3], C-term used in Western Blot (WB). GTX116009
Anti-APC antibody [C3], C-term used in Immunocytochemistry/ Immunofluorescence (ICC/IF). GTX116009
Anti-APC antibody [C3], C-term used in IHC (Paraffin sections) (IHC-P). GTX116009
Anti-APC antibody [C3], C-term used in Immunocytochemistry/ Immunofluorescence (ICC/IF). GTX116009
  • 宿主
    Rabbit
  • 克隆
    Polyclonal
  • 同种型
    IgG
  • 实验应用
    WB ICC/IF IHC-P IHC
  • 种属反应
    Human, Mouse, Rat
查看所有 APC 的产品