ARALAR抗体

目录号 GTX34202
目录号  GTX34202
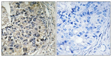
Anti-ARALAR antibody used in IHC (Paraffin sections) (IHC-P). GTX34202
GTX34202 IHC-P Image

IHC-P analysis of human prostate cancer tissue using GTX34202 ARALAR antibody. Negative control (the lower left coner) was secondary antibody only.
Antigen retrieval : Tris-EDTA, pH8.0 under high-pressure and temperature
Dilution : 1:100

1 / 3
Anti-ARALAR antibody used in Western Blot (WB). GTX34202
GTX34202 WB Image

WB analysis of HepG2 cell lysate using GTX34202 ARALAR antibody.

2 / 3
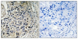
Anti-ARALAR antibody used in IHC (Paraffin sections) (IHC-P). GTX34202
GTX34202 IHC-P Image

IHC-P analysis of human prostate carcinoma tissue using GTX34202 ARALAR antibody. The picture on the right is blocked with the synthesized peptide.

3 / 3
Anti-ARALAR antibody used in IHC (Paraffin sections) (IHC-P). GTX34202
Anti-ARALAR antibody used in Western Blot (WB). GTX34202
Anti-ARALAR antibody used in IHC (Paraffin sections) (IHC-P). GTX34202
  • 宿主
    Rabbit
  • 克隆
    Polyclonal
  • 同种型
    IgG
  • 实验应用
    WB IHC-P
  • 种属反应
    Human
查看所有 ARALAR 的产品