ARHGAP25抗体 [12G4]

目录号 GTX84867
目录号  GTX84867
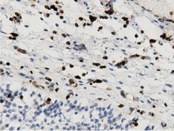
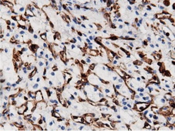
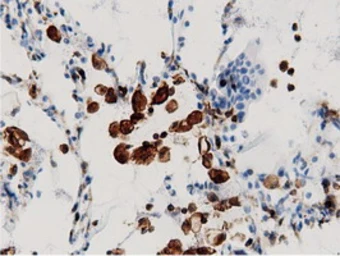
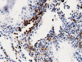
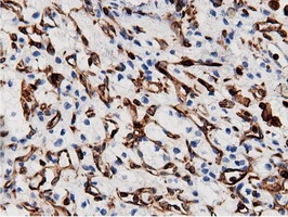
Anti-ARHGAP25 antibody [12G4] used in IHC (Paraffin sections) (IHC-P). GTX84867
GTX84867 IHC-P Image

IHC-P analysis of human prostate carcinoma tissue using GTX84867 ARHGAP25 antibody [12G4].
Antigen retrieval : Heat-induced epitope retrieval by 10mM citrate buffer, pH6.0, 100ºC for 10min.

1 / 18
Anti-ARHGAP25 antibody [12G4] used in Western Blot (WB). GTX84867
GTX84867 WB Image

WB analysis of HEK293T cells transfected with ARHGAP25 plasmid (Right) or empty vector (Left) for 48 hrs using GTX84867 ARHGAP25 antibody [12G4].
Loading : 5 ug per lane

2 / 18
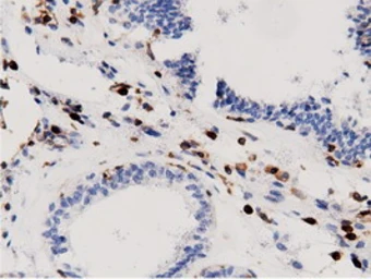
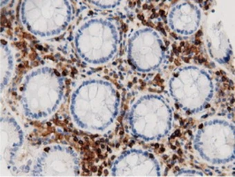
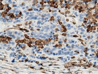
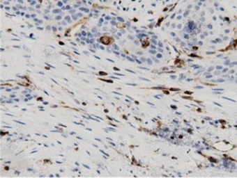
Anti-ARHGAP25 antibody [12G4] used in IHC (Paraffin sections) (IHC-P). GTX84867
GTX84867 IHC-P Image

IHC-P analysis of human colon tissue using GTX84867 ARHGAP25 antibody [12G4].
Antigen retrieval : Heat-induced epitope retrieval by 10mM citrate buffer, pH6.0, 100ºC for 10min.

3 / 18
Anti-ARHGAP25 antibody [12G4] used in Flow cytometry (FCM). GTX84867
GTX84867 FCM Image

FACS analysis of HEK293T cells transfected with either ARHGAP25 plasmid(Red) or empty vector control plasmid(Blue) using GTX84867 ARHGAP25 antibody [12G4].

4 / 18
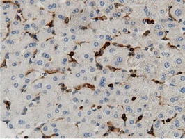
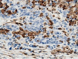
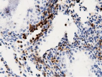
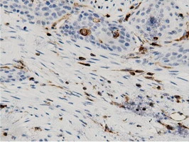
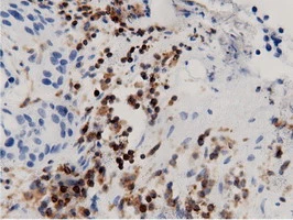
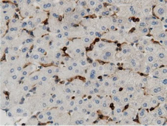
Anti-ARHGAP25 antibody [12G4] used in IHC (Paraffin sections) (IHC-P). GTX84867
GTX84867 IHC-P Image

IHC-P analysis of human liver tissue using GTX84867 ARHGAP25 antibody [12G4].
Antigen retrieval : Heat-induced epitope retrieval by 10mM citrate buffer, pH6.0, 100ºC for 10min.

5 / 18
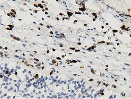
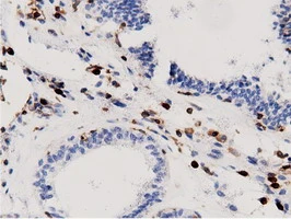
Anti-ARHGAP25 antibody [12G4] used in IHC (Paraffin sections) (IHC-P). GTX84867
GTX84867 IHC-P Image

IHC-P analysis of human colon adenocarcinoma tissue using GTX84867 ARHGAP25 antibody [12G4].
Antigen retrieval : Heat-induced epitope retrieval by 10mM citrate buffer, pH6.0, 100ºC for 10min.

6 / 18
Anti-ARHGAP25 antibody [12G4] used in Immunocytochemistry/ Immunofluorescence (ICC/IF). GTX84867
GTX84867 ICC/IF Image

ICC/IF analysis of COS7 cells transiently transfected with ARHGAP25 plasmid using GTX84867 ARHGAP25 antibody [12G4].

7 / 18
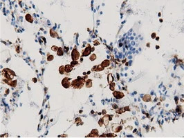
Anti-ARHGAP25 antibody [12G4] used in IHC (Paraffin sections) (IHC-P). GTX84867
GTX84867 IHC-P Image

IHC-P analysis of human bladder carcinoma tissue using GTX84867 ARHGAP25 antibody [12G4].
Antigen retrieval : Heat-induced epitope retrieval by 10mM citrate buffer, pH6.0, 100ºC for 10min.

8 / 18
Anti-ARHGAP25 antibody [12G4] used in IHC (Paraffin sections) (IHC-P). GTX84867
GTX84867 IHC-P Image

IHC-P analysis of human ovary adenocarcinoma tissue using GTX84867 ARHGAP25 antibody [12G4].
Antigen retrieval : Heat-induced epitope retrieval by 10mM citrate buffer, pH6.0, 100ºC for 10min.

9 / 18
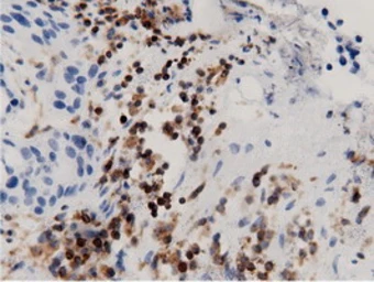
Anti-ARHGAP25 antibody [12G4] used in IHC (Paraffin sections) (IHC-P). GTX84867
GTX84867 IHC-P Image

IHC-P analysis of human lymphoma tissue using GTX84867 ARHGAP25 antibody [12G4].
Antigen retrieval : Heat-induced epitope retrieval by 10mM citrate buffer, pH6.0, 100ºC for 10min.

10 / 18
Anti-ARHGAP25 antibody [12G4] used in Western Blot (WB). GTX84867
GTX84867 WB Image

WB analysis of various cell lines using GTX84867 ARHGAP25 antibody [12G4].
Loading : 35 ug per lane

11 / 18
Anti-ARHGAP25 antibody [12G4] used in IHC (Paraffin sections) (IHC-P). GTX84867
GTX84867 IHC-P Image

IHC-P analysis of human kidney carcinoma tissue using GTX84867 ARHGAP25 antibody [12G4].
Antigen retrieval : Heat-induced epitope retrieval by 10mM citrate buffer, pH6.0, 100ºC for 10min.

12 / 18
Anti-ARHGAP25 antibody [12G4] used in IHC (Paraffin sections) (IHC-P). GTX84867
GTX84867 IHC-P Image

IHC-P analysis of human bladder tissue using GTX84867 ARHGAP25 antibody [12G4].
Antigen retrieval : Heat-induced epitope retrieval by 10mM citrate buffer, pH6.0, 100ºC for 10min.

13 / 18
Anti-ARHGAP25 antibody [12G4] used in IHC (Paraffin sections) (IHC-P). GTX84867
GTX84867 IHC-P Image

IHC-P analysis of human lung carcinoma tissue using GTX84867 ARHGAP25 antibody [12G4].
Antigen retrieval : Heat-induced epitope retrieval by 10mM citrate buffer, pH6.0, 100ºC for 10min.

14 / 18
Anti-ARHGAP25 antibody [12G4] used in IHC (Paraffin sections) (IHC-P). GTX84867
GTX84867 IHC-P Image

IHC-P analysis of human prostate tissue using GTX84867 ARHGAP25 antibody [12G4].
Antigen retrieval : Heat-induced epitope retrieval by 10mM citrate buffer, pH6.0, 100ºC for 10min.

15 / 18
Anti-ARHGAP25 antibody [12G4] used in IHC (Paraffin sections) (IHC-P). GTX84867
GTX84867 IHC-P Image

IHC-P analysis of human endometrium adenocarcinoma tissue using GTX84867 ARHGAP25 antibody [12G4].
Antigen retrieval : Heat-induced epitope retrieval by 10mM citrate buffer, pH6.0, 100ºC for 10min.

16 / 18
Anti-ARHGAP25 antibody [12G4] used in IHC (Paraffin sections) (IHC-P). GTX84867
GTX84867 IHC-P Image

IHC-P analysis of human pancreas carcinoma tissue using GTX84867 ARHGAP25 antibody [12G4].
Antigen retrieval : Heat-induced epitope retrieval by 10mM citrate buffer, pH6.0, 100ºC for 10min.

17 / 18
Anti-ARHGAP25 antibody [12G4] used in IHC (Paraffin sections) (IHC-P). GTX84867
GTX84867 IHC-P Image

IHC-P analysis of human lung tissue using GTX84867 ARHGAP25 antibody [12G4].
Antigen retrieval : Heat-induced epitope retrieval by 10mM citrate buffer, pH6.0, 100ºC for 10min.

18 / 18
Anti-ARHGAP25 antibody [12G4] used in IHC (Paraffin sections) (IHC-P). GTX84867
Anti-ARHGAP25 antibody [12G4] used in Western Blot (WB). GTX84867
Anti-ARHGAP25 antibody [12G4] used in IHC (Paraffin sections) (IHC-P). GTX84867
Anti-ARHGAP25 antibody [12G4] used in Flow cytometry (FCM). GTX84867
Anti-ARHGAP25 antibody [12G4] used in IHC (Paraffin sections) (IHC-P). GTX84867
Anti-ARHGAP25 antibody [12G4] used in IHC (Paraffin sections) (IHC-P). GTX84867
Anti-ARHGAP25 antibody [12G4] used in Immunocytochemistry/ Immunofluorescence (ICC/IF). GTX84867
Anti-ARHGAP25 antibody [12G4] used in IHC (Paraffin sections) (IHC-P). GTX84867
Anti-ARHGAP25 antibody [12G4] used in IHC (Paraffin sections) (IHC-P). GTX84867
Anti-ARHGAP25 antibody [12G4] used in IHC (Paraffin sections) (IHC-P). GTX84867
Anti-ARHGAP25 antibody [12G4] used in Western Blot (WB). GTX84867
Anti-ARHGAP25 antibody [12G4] used in IHC (Paraffin sections) (IHC-P). GTX84867
Anti-ARHGAP25 antibody [12G4] used in IHC (Paraffin sections) (IHC-P). GTX84867
Anti-ARHGAP25 antibody [12G4] used in IHC (Paraffin sections) (IHC-P). GTX84867
Anti-ARHGAP25 antibody [12G4] used in IHC (Paraffin sections) (IHC-P). GTX84867
Anti-ARHGAP25 antibody [12G4] used in IHC (Paraffin sections) (IHC-P). GTX84867
Anti-ARHGAP25 antibody [12G4] used in IHC (Paraffin sections) (IHC-P). GTX84867
Anti-ARHGAP25 antibody [12G4] used in IHC (Paraffin sections) (IHC-P). GTX84867
  • 宿主
    Mouse
  • 克隆
    Monoclonal
  • 克隆编号
    12G4
  • 同种型
    IgG1
  • 实验应用
    WB ICC/IF IHC-P FCM
  • 种属反应
    Human
查看所有 ARHGAP25 的产品