ARRDC2抗体

目录号 GTX87002
目录号  GTX87002
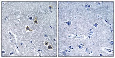
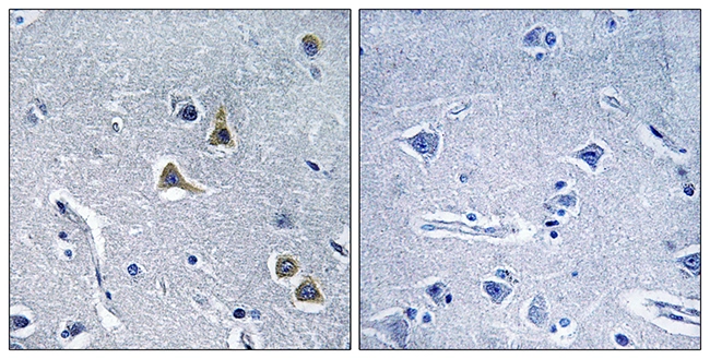
Anti-ARRDC2 antibody used in IHC (Paraffin sections) (IHC-P). GTX87002
GTX87002 IHC-P Image

IHC-P analysis of human brain tissue using GTX87002 ARRDC2 antibody. The picture on the right is blocked with the synthesized peptide.

1 / 1
Anti-ARRDC2 antibody used in IHC (Paraffin sections) (IHC-P). GTX87002
  • 宿主
    Rabbit
  • 克隆
    Polyclonal
  • 同种型
    IgG
  • 实验应用
    IHC-P
  • 种属反应
    Human
查看所有 ARRDC2 的产品