ASCL1抗体

目录号 GTX129189
目录号  GTX129189
Anti-ASCL1 antibody used in Western Blot (WB). GTX129189
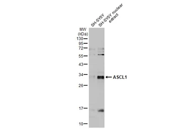
GTX129189 WB Image

SH-SY5Y whole cell and nuclear extracts (30 μg) were separated by 12% SDS-PAGE, and the membrane was blotted with ASCL1 antibody (GTX129189) diluted at 1:1000. The HRP-conjugated anti-rabbit IgG antibody (GTX213110-01) was used to detect the primary antibody.

1 / 7
Anti-ASCL1 antibody used in IHC (Paraffin sections) (IHC-P). GTX129189
GTX129189 IHC-P Image

ASCL1 antibody detects ASCL1 protein at cytoplasm in rat brain by immunohistochemical analysis.
Sample: Paraffin-embedded rat brain.
ASCL1 antibody (GTX129189) diluted at 1:500.

Antigen Retrieval: Citrate buffer, pH 6.0, 15 min

2 / 7
Anti-ASCL1 antibody used in Western Blot (WB). GTX129189
GTX129189 WB Image

ASCL1 antibody detects ASCL1 protein by western blot analysis. Various whole cell extracts (30 μg) were separated by 15 % SDS-PAGE, and blotted with ASCL1 antibody (GTX129189) diluted by 1:1000

3 / 7
Anti-ASCL1 antibody used in Immunocytochemistry/ Immunofluorescence (ICC/IF). GTX129189
GTX129189 ICC/IF Image

ASCL1 antibody detects ASCL1 protein by immunofluorescent analysis.
Sample: DIV9 rat E18 primary hippocampal neuron cells were fixed in 4% paraformaldehyde at RT for 15 min.
Green: ASCL1 stained by ASCL1 antibody (GTX129189) diluted at 1:500.
Red: beta Tubulin 3/ Tuj1, stained by beta Tubulin 3/ Tuj1 antibody [GT11710] (GTX631836) diluted at 1:500.
Blue: Fluoroshield with DAPI (GTX30920).

4 / 7
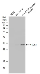
Anti-ASCL1 antibody used in Western Blot (WB). GTX129189
GTX129189 WB Image

Various whole cell and SH-SY5Y nuclear extracts (30 μg) were separated by 12% SDS-PAGE, and the membrane was blotted with ASCL1 antibody (GTX129189) diluted at 1:1000.

5 / 7
Anti-ASCL1 antibody used in Western Blot (WB). GTX129189
GTX129189 WB Image

Various whole cell extracts (30 μg) were separated by 12% SDS-PAGE, and the membrane was blotted with ASCL1 antibody (GTX129189) diluted at 1:1000.

6 / 7
Anti-ASCL1 antibody used in Western Blot (WB). GTX129189
GTX129189 WB Image

The data was published in the 2020 in Nat Commun. PMID: 31953400

7 / 7
Anti-ASCL1 antibody used in Western Blot (WB). GTX129189
Anti-ASCL1 antibody used in IHC (Paraffin sections) (IHC-P). GTX129189
Anti-ASCL1 antibody used in Western Blot (WB). GTX129189
Anti-ASCL1 antibody used in Immunocytochemistry/ Immunofluorescence (ICC/IF). GTX129189
Anti-ASCL1 antibody used in Western Blot (WB). GTX129189
Anti-ASCL1 antibody used in Western Blot (WB). GTX129189
Anti-ASCL1 antibody used in Western Blot (WB). GTX129189
  • 宿主
    Rabbit
  • 克隆
    Polyclonal
  • 同种型
    IgG
  • 实验应用
    WB ICC/IF IHC-P
  • 种属反应
    Human, Rat, Dog
查看所有 ASCL1 的产品