Aldolase B抗体

目录号 GTX114914
目录号  GTX114914
Anti-Aldolase B antibody used in Western Blot (WB). GTX114914
GTX114914 WB Image

Various whole cell extracts (30 μg) were separated by 10% SDS-PAGE, and the membrane was blotted with Aldolase B antibody (GTX114914) diluted at 1:1000. The HRP-conjugated anti-rabbit IgG antibody (GTX213110-01) was used to detect the primary antibody, and the signal was developed with Trident femto Western HRP Substrate.

1 / 9
Anti-Aldolase B antibody used in Western Blot (WB). GTX114914
GTX114914 WB Image

Sample (30 ug of whole cell lysate)
A: 293T
B: A431 (GTX27909)
C: JurKat
D: Raji
10% SDS PAGE
GTX114914 diluted at 1:1000

2 / 9
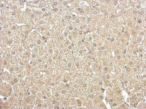
Anti-Aldolase B antibody used in IHC (Paraffin sections) (IHC-P). GTX114914
GTX114914 IHC-P Image

Aldolase B antibody detects ALDOB protein at cytosol on human hepatoma by immunohistochemical analysis.
Sample: Paraffin-embedded hepatoma tissue.
Aldolase B antibody (GTX114914) dilution: 1:500.

Antigen Retrieval: Trilogy™ (EDTA based, pH 8.0) buffer, 15min

3 / 9
Anti-Aldolase B antibody used in Immunocytochemistry/ Immunofluorescence (ICC/IF). GTX114914
GTX114914 ICC/IF Image

Immunofluorescence analysis of methanol-fixed A431, using Aldolase B(GTX114914) antibody at 1:200 dilution.

4 / 9
Anti-Aldolase B antibody used in Western Blot (WB). GTX114914
GTX114914 WB Image

Sample (20 ug of whole cell lysate)
A: mouse liver
10% SDS PAGE
GTX114914 diluted at 1:10000

5 / 9
Anti-Aldolase B antibody used in Western Blot (WB). GTX114914
GTX114914 WB Image

Aldolase B antibody detects ALDOB protein by Western blot analysis.
A. 30 μg PC-12 whole cell lysate/extract
B. 30 ug Rat2 whole cell lysate/extract
10 % SDS-PAGE
Aldolase B antibody (GTX114914) dilution: 1:1000

6 / 9
Anti-Aldolase B antibody used in Western Blot (WB). GTX114914
GTX114914 WB Image

Various tissue extracts (50 μg) were separated by 10% SDS-PAGE, and the membrane was blotted with Aldolase B antibody (GTX114914) diluted at 1:5000. The HRP-conjugated anti-rabbit IgG antibody (GTX213110-01) was used to detect the primary antibody.

7 / 9
Anti-Aldolase B antibody used in IHC (Paraffin sections) (IHC-P). GTX114914
GTX114914 IHC-P Image

Immunohistochemical analysis of paraffin-embedded zebrafish tissue, using Aldolase B antibody (GTX114914) at 1:300 dilution.

8 / 9
Anti-Aldolase B antibody used in Western Blot (WB). GTX114914
GTX114914 WB Image

Sample (30 μg of whole cell lysate)
A: zebrafish eye
10% SDS PAGE
GTX114914 diluted at 1:1000

9 / 9
Anti-Aldolase B antibody used in Western Blot (WB). GTX114914
Anti-Aldolase B antibody used in Western Blot (WB). GTX114914
Anti-Aldolase B antibody used in IHC (Paraffin sections) (IHC-P). GTX114914
Anti-Aldolase B antibody used in Immunocytochemistry/ Immunofluorescence (ICC/IF). GTX114914
Anti-Aldolase B antibody used in Western Blot (WB). GTX114914
Anti-Aldolase B antibody used in Western Blot (WB). GTX114914
Anti-Aldolase B antibody used in Western Blot (WB). GTX114914
Anti-Aldolase B antibody used in IHC (Paraffin sections) (IHC-P). GTX114914
Anti-Aldolase B antibody used in Western Blot (WB). GTX114914
  • 宿主
    Rabbit
  • 克隆
    Polyclonal
  • 同种型
    IgG
  • 实验应用
    WB ICC/IF IHC-P
  • 种属反应
    Human, Mouse, Rat, Zebrafish
查看所有 Aldolase B 的产品