Annexin XI抗体 [1C6]

目录号 GTX84884
目录号  GTX84884
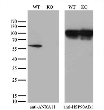
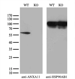
Anti-Annexin XI antibody [1C6] used in Western Blot (WB). GTX84884
GTX84884 WB Image

WB analysis of wild type and Annexin XI knock out 293T cell lysate(10μg per lane) using GTX84884 Annexin XI antibody [1C6].
Dilution : 1:500

1 / 5
Anti-Annexin XI antibody [1C6] used in Immunocytochemistry/ Immunofluorescence (ICC/IF). GTX84884
GTX84884 ICC/IF Image

ICC/IF analysis of COS7 cells transiently transfected with Annexin XI plasmid using GTX84884 Annexin XI antibody [1C6].

2 / 5
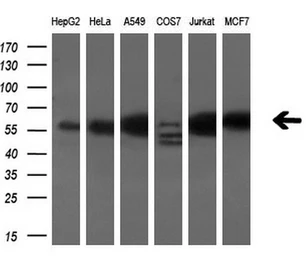
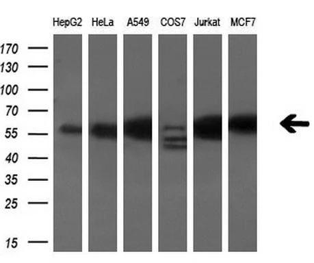
Anti-Annexin XI antibody [1C6] used in Western Blot (WB). GTX84884
GTX84884 WB Image

WB analysis of various cell lines using GTX84884 Annexin XI antibody [1C6].
Loading : 10 ug per lane
Dilution : 1:200

3 / 5
Anti-Annexin XI antibody [1C6] used in Flow cytometry (FCM). GTX84884
GTX84884 FCM Image

FACS analysis of HEK293T cells transfected with either Annexin XI plasmid(Red) or empty vector control plasmid(Blue) using GTX84884 Annexin XI antibody [1C6].

4 / 5
Anti-Annexin XI antibody [1C6] used in Western Blot (WB). GTX84884
GTX84884 WB Image

WB analysis of HEK293T cells transfected with Annexin XI plasmid (Right) or empty vector (Left) for 48 hrs using GTX84884 Annexin XI antibody [1C6].
Loading : 5 ug per lane

5 / 5
Anti-Annexin XI antibody [1C6] used in Western Blot (WB). GTX84884
Anti-Annexin XI antibody [1C6] used in Immunocytochemistry/ Immunofluorescence (ICC/IF). GTX84884
Anti-Annexin XI antibody [1C6] used in Western Blot (WB). GTX84884
Anti-Annexin XI antibody [1C6] used in Flow cytometry (FCM). GTX84884
Anti-Annexin XI antibody [1C6] used in Western Blot (WB). GTX84884
  • 宿主
    Mouse
  • 克隆
    Monoclonal
  • 克隆编号
    1C6
  • 同种型
    IgG1
  • 实验应用
    WB ICC/IF FCM IP
  • 种属反应
    Human, Monkey
查看所有 Annexin XI 的产品