Apolipoprotein E抗体

目录号 GTX101456
目录号  GTX101456
Anti-Apolipoprotein E antibody used in Western Blot (WB). GTX101456
GTX101456 WB Image

Human tissue extract (30 μg) was separated by 10% SDS-PAGE, and the membrane was blotted with Apolipoprotein E antibody (GTX101456) diluted at 1:1000.

1 / 4
Anti-Apolipoprotein E antibody used in Immunocytochemistry/ Immunofluorescence (ICC/IF). GTX101456
GTX101456 ICC/IF Image

Apolipoprotein E antibody detects Apolipoprotein E protein at cytoplasm by immunofluorescent analysis.
Sample: HepG2 cells were fixed in 4% paraformaldehyde at RT for 15 min.
Green: Apolipoprotein E protein stained by Apolipoprotein E antibody (GTX101456) diluted at 1:500.
Blue: Hoechst 33342 staining.

2 / 4
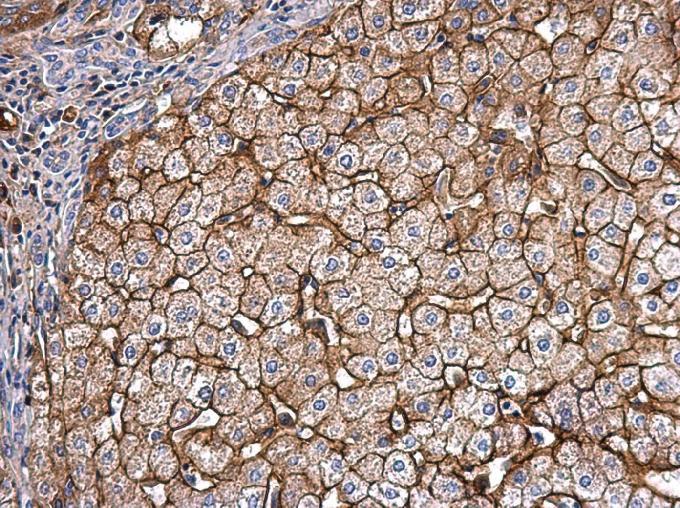
Anti-Apolipoprotein E antibody used in IHC (Paraffin sections) (IHC-P). GTX101456
GTX101456 IHC-P Image

Apolipoprotein E antibody detects Apolipoprotein E protein at secreted on human hepatoma by immunohistochemical analysis.
Sample: Paraffin-embedded human hepatoma.
Apolipoprotein E antibody (GTX101456) dilution: 1:500.

Antigen Retrieval: Trilogy™ (EDTA based, pH 8.0) buffer, 15min

3 / 4
Anti-Apolipoprotein E antibody used in Western Blot (WB). GTX101456
GTX101456 WB Image

Whole cell extract (30 μg) was separated by 10% SDS-PAGE, and the membrane was blotted with Apolipoprotein E antibody (GTX101456) diluted at 1:1000.

4 / 4
Anti-Apolipoprotein E antibody used in Western Blot (WB). GTX101456
Anti-Apolipoprotein E antibody used in Immunocytochemistry/ Immunofluorescence (ICC/IF). GTX101456
Anti-Apolipoprotein E antibody used in IHC (Paraffin sections) (IHC-P). GTX101456
Anti-Apolipoprotein E antibody used in Western Blot (WB). GTX101456
  • 宿主
    Rabbit
  • 克隆
    Polyclonal
  • 同种型
    IgG
  • 实验应用
    WB ICC/IF IHC-P
  • 种属反应
    Human
查看所有 Apolipoprotein E 的产品