Aurora A抗体 [C3], C-term

目录号 GTX104620
目录号  GTX104620
Anti-Aurora A antibody [C3], C-term used in Immunocytochemistry/ Immunofluorescence (ICC/IF). GTX104620
GTX104620 ICC/IF Image

Confocal immunofluorescence analysis (Olympus FV10i) of methanol-fixed 293T, using Aurora A(GTX104620) antibody (Green) at 1:500 dilution. Alpha-tubulin filaments were labeled with GTX11304 (Red) at 1:2500.

1 / 6
Anti-Aurora A antibody [C3], C-term used in Immunocytochemistry/ Immunofluorescence (ICC/IF). GTX104620
GTX104620 ICC/IF Image

Confocal immunofluorescence analysis (Olympus FV10i) of paraformaldehyde-fixed U2OS, using Aurora A(GTX104620) antibody (Green) at 1:500 dilution. Alpha-tubulin filaments were labeled with GTX11304 (Red) at 1:500.

2 / 6
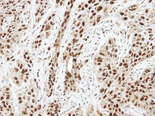
Anti-Aurora A antibody [C3], C-term used in IHC (Paraffin sections) (IHC-P). GTX104620
GTX104620 IHC-P Image

Immunohistochemical analysis of paraffin-embedded TW2.6 xenograft, using Aurora A(GTX104620) antibody at 1:100 dilution.
Antigen Retrieval: Trilogy™ (EDTA based, pH 8.0) buffer, 15min

3 / 6
Anti-Aurora A antibody [C3], C-term used in Immunocytochemistry/ Immunofluorescence (ICC/IF). GTX104620
GTX104620 ICC/IF Image

Aurora A antibody [C3], C-term detects Aurora A protein at spindle by immunofluorescent analysis.
Sample: HeLa cells were fixed in ice-cold MeOH for 5 min.
Green: Aurora A stained by Aurora A antibody [C3], C-term (GTX104620) diluted at 1:500.
Red: alpha Tubulin, a cytoskeleton marker, stained by alpha Tubulin antibody [GT114] (GTX628802) diluted at 1:500.
Blue: Hoechst 33342 staining.

4 / 6
Anti-Aurora A antibody [C3], C-term used in Western Blot (WB). GTX104620
GTX104620 WB Image

Non-transfected (–) and transfected (+) 293T whole cell extracts (30 μg) were separated by 10% SDS-PAGE, and the membrane was blotted with Aurora A antibody [C3], C-term (GTX104620) diluted at 1:1000. The HRP-conjugated anti-rabbit IgG antibody (GTX213110-01) was used to detect the primary antibody.

5 / 6
Anti-Aurora A antibody [C3], C-term used in Immunocytochemistry/ Immunofluorescence (ICC/IF). GTX104620
GTX104620 ICC/IF Image

Aurora A antibody [C3], C-term detects Aurora A protein at spindle by immunofluorescent analysis.
Sample: HeLa cells were fixed in ice-cold MeOH for 5 min.
Green: Aurora A stained by Aurora A antibody [C3], C-term (GTX104620) diluted at 1:500.
Red: alpha Tubulin, a cytoskeleton marker, stained by alpha Tubulin antibody [GT114] (GTX628802) diluted at 1:500.
Blue: Hoechst 33342 staining.

6 / 6
Anti-Aurora A antibody [C3], C-term used in Immunocytochemistry/ Immunofluorescence (ICC/IF). GTX104620
Anti-Aurora A antibody [C3], C-term used in Immunocytochemistry/ Immunofluorescence (ICC/IF). GTX104620
Anti-Aurora A antibody [C3], C-term used in IHC (Paraffin sections) (IHC-P). GTX104620
Anti-Aurora A antibody [C3], C-term used in Immunocytochemistry/ Immunofluorescence (ICC/IF). GTX104620
Anti-Aurora A antibody [C3], C-term used in Western Blot (WB). GTX104620
Anti-Aurora A antibody [C3], C-term used in Immunocytochemistry/ Immunofluorescence (ICC/IF). GTX104620
  • 宿主
    Rabbit
  • 克隆
    Polyclonal
  • 同种型
    IgG
  • 实验应用
    WB ICC/IF IHC-P
  • 种属反应
    Human
查看所有 Aurora A 的产品