B-Raf抗体 [HL1606]

目录号 GTX637085
目录号  GTX637085
Anti-B-Raf antibody [HL1606] used in Western Blot (WB). GTX637085
GTX637085 WB Image

Wild-type (WT) and BRAF knockout (KO) HeLa cell extracts (30 μg) were separated by 7.5% SDS-PAGE, and the membrane was blotted with B-Raf antibody [HL1606] (GTX637085) diluted at 1:1000. The HRP-conjugated anti-rabbit IgG antibody (GTX213110-01) was used to detect the primary antibody.

1 / 9
Anti-B-Raf antibody [HL1606] used in IHC (Paraffin sections) (IHC-P). GTX637085
GTX637085 IHC-P Image

B-Raf antibody [HL1606] detects B-Raf protein by immunohistochemical analysis.
Sample: Paraffin-embedded mouse tissues.
B-Raf stained by B-Raf antibody [HL1606] (GTX637085) diluted at 1:100.
Antigen Retrieval: Citrate buffer, pH 6.0, 15 min

2 / 9
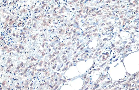
Anti-B-Raf antibody [HL1606] used in IHC (Paraffin sections) (IHC-P). GTX637085
GTX637085 IHC-P Image

B-Raf antibody [HL1606] detects B-Raf protein by immunohistochemical analysis.
Sample: Paraffin-embedded rat tissues.
B-Raf stained by B-Raf antibody [HL1606] (GTX637085) diluted at 1:100.
Antigen Retrieval: Citrate buffer, pH 6.0, 15 min

3 / 9
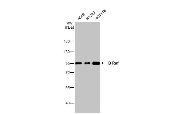
Anti-B-Raf antibody [HL1606] used in Western Blot (WB). GTX637085
GTX637085 WB Image

Various whole cell extracts (30 μg) were separated by 7.5% SDS-PAGE, and the membrane was blotted with B-Raf antibody [HL1606] (GTX637085) diluted at 1:1000. The HRP-conjugated anti-rabbit IgG antibody (GTX213110-01) was used to detect the primary antibody.

4 / 9
Anti-B-Raf antibody [HL1606] used in Immunocytochemistry/ Immunofluorescence (ICC/IF). GTX637085
GTX637085 ICC/IF Image

B-Raf antibody [HL1606] detects B-Raf protein at cytoplasm by immunofluorescent analysis.
Sample: U87-MG cells were fixed in 4% paraformaldehyde at RT for 15 min.
Green: B-Raf stained by B-Raf antibody [HL1606] (GTX637085) diluted at 1:500.
Blue: Fluoroshield with DAPI (GTX30920).

5 / 9
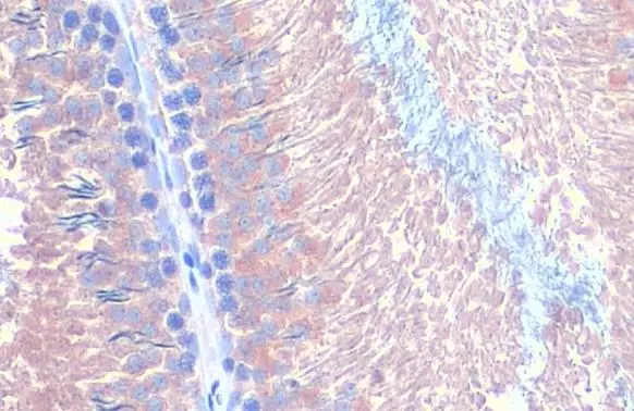
Anti-B-Raf antibody [HL1606] used in IHC (Paraffin sections) (IHC-P). GTX637085
GTX637085 IHC-P Image

B-Raf antibody [HL1606] detects B-Raf protein at cytoplasm by immunohistochemical analysis.
Sample: Paraffin-embedded rat testis.
B-Raf stained by B-Raf antibody [HL1606] (GTX637085) diluted at 1:100.
Antigen Retrieval: Citrate buffer, pH 6.0, 15 min

6 / 9
Anti-B-Raf antibody [HL1606] used in Western Blot (WB). GTX637085
GTX637085 WB Image

Various whole cell extracts (30 μg) were separated by 7.5% SDS-PAGE, and the membrane was blotted with B-Raf antibody [HL1606] (GTX637085) diluted at 1:1000. The HRP-conjugated anti-rabbit IgG antibody (GTX213110-01) was used to detect the primary antibody.

7 / 9
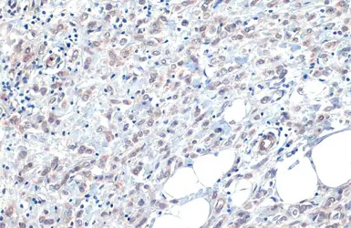
Anti-B-Raf antibody [HL1606] used in IHC (Paraffin sections) (IHC-P). GTX637085
GTX637085 IHC-P Image

B-Raf antibody [HL1606] detects B-Raf protein at cytoplasm by immunohistochemical analysis.
Sample: Paraffin-embedded human breast carcinoma.
B-Raf stained by B-Raf antibody [HL1606] (GTX637085) diluted at 1:100.
Antigen Retrieval: Citrate buffer, pH 6.0, 15 min

8 / 9
Anti-B-Raf antibody [HL1606] used in Western Blot (WB). GTX637085
GTX637085 WB Image

Non-transfected (–) and transfected (+) 293T whole cell extracts (30 μg) were separated by 7.5% SDS-PAGE, and the membrane was blotted with B-Raf antibody [HL1606] (GTX637085) diluted at 1:10000. The HRP-conjugated anti-rabbit IgG antibody (GTX213110-01) was used to detect the primary antibody.

9 / 9
Anti-B-Raf antibody [HL1606] used in Western Blot (WB). GTX637085
Anti-B-Raf antibody [HL1606] used in IHC (Paraffin sections) (IHC-P). GTX637085
Anti-B-Raf antibody [HL1606] used in IHC (Paraffin sections) (IHC-P). GTX637085
Anti-B-Raf antibody [HL1606] used in Western Blot (WB). GTX637085
Anti-B-Raf antibody [HL1606] used in Immunocytochemistry/ Immunofluorescence (ICC/IF). GTX637085
Anti-B-Raf antibody [HL1606] used in IHC (Paraffin sections) (IHC-P). GTX637085
Anti-B-Raf antibody [HL1606] used in Western Blot (WB). GTX637085
Anti-B-Raf antibody [HL1606] used in IHC (Paraffin sections) (IHC-P). GTX637085
Anti-B-Raf antibody [HL1606] used in Western Blot (WB). GTX637085
  • 宿主
    Rabbit
  • 克隆
    Monoclonal
  • 克隆编号
    HL1606
  • 同种型
    IgG
  • 实验应用
    WB ICC/IF IHC-P
  • 种属反应
    Human, Mouse, Rat, Cat, Dog
查看所有 B-Raf 的产品