BAFF抗体

目录号 GTX33032
目录号  GTX33032
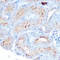
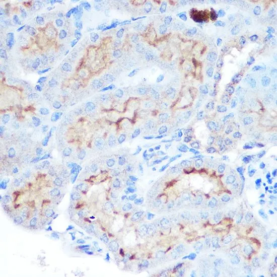
Anti-BAFF antibody used in IHC (Paraffin sections) (IHC-P). GTX33032
GTX33032 IHC-P Image

IHC-P analysis of mouse kidney tissue using GTX33032 BAFF antibody.
Dilution : 1:100

1 / 2
Anti-BAFF antibody used in Western Blot (WB). GTX33032
GTX33032 WB Image

WB analysis of various sample lysates using GTX33032 BAFF antibody. The signal was developed with ECL plus-Enhanced.
Dilution : 1:1000
Loading : 25μg per lane

2 / 2
Anti-BAFF antibody used in IHC (Paraffin sections) (IHC-P). GTX33032
Anti-BAFF antibody used in Western Blot (WB). GTX33032
  • 宿主
    Rabbit
  • 克隆
    Polyclonal
  • 同种型
    IgG
  • 实验应用
    WB IHC-P
  • 种属反应
    Human, Mouse
查看所有 BAFF 的产品