BDNF抗体

目录号 GTX132621
目录号  GTX132621
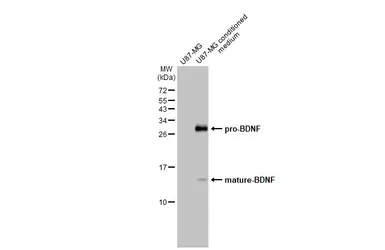
Anti-BDNF antibody used in Western Blot (WB). GTX132621
GTX132621 WB Image

U87-MG whole cell extract and conditioned medium (30 μg) were separated by 15% SDS-PAGE, and the membrane was blotted with BDNF antibody (GTX132621) diluted at 1:125. The HRP-conjugated anti-rabbit IgG antibody (GTX213110-01) was used to detect the primary antibody.

1 / 6
Anti-BDNF antibody used in Western Blot (WB). GTX132621
GTX132621 WB Image

Various tissue extracts (50 μg) were separated by 15% SDS-PAGE, and the membrane was blotted with BDNF antibody (GTX132621) diluted at 1:500. The HRP-conjugated anti-rabbit IgG antibody (GTX213110-01) was used to detect the primary antibody.

2 / 6
Anti-BDNF antibody used in IHC (Paraffin sections) (IHC-P). GTX132621
GTX132621 IHC-P Image

BDNF antibody detects BDNF protein at cytoplasm by immunohistochemical analysis.
Sample: Paraffin-embedded rat hippocampus CA3.
BDNF stained by BDNF antibody (GTX132621) diluted at 1:500.
Antigen Retrieval: Citrate buffer, pH 6.0, 15 min

3 / 6
Anti-BDNF antibody used in IHC (Paraffin sections) (IHC-P). GTX132621
GTX132621 IHC-P Image

BDNF antibody detects BDNF protein at cytoplasm by immunohistochemical analysis.
Sample: Paraffin-embedded mouse hippocampus DG.
BDNF stained by BDNF antibody (GTX132621) diluted at 1:1000.
Antigen Retrieval: Citrate buffer, pH 6.0, 15 min

4 / 6
Anti-BDNF antibody used in Immunocytochemistry/ Immunofluorescence (ICC/IF). GTX132621
GTX132621 ICC/IF Image

BDNF antibody detects BDNF protein by immunofluorescent analysis.
Sample: DIV10 rat E18 primary cortical neuron cells were fixed in 4% paraformaldehyde at RT for 15 min.
Green: BDNF stained by BDNF antibody (GTX132621) diluted at 1:500.
Red: Tau, stained by Tau antibody [GT287] (GTX634809) diluted at 1:500.
Blue: Fluoroshield with DAPI (GTX30920).

5 / 6
Anti-BDNF antibody used in IHC (Paraffin sections) (IHC-P). GTX132621
GTX132621 IHC-P Image

BDNF antibody detects BDNF protein at cytoplasm in rat brain by immunohistochemical analysis.
Sample: Paraffin-embedded rat brain.
BDNF antibody (GTX132621) diluted at 1:500.

Antigen Retrieval: Citrate buffer, pH 6.0, 15 min

6 / 6
Anti-BDNF antibody used in Western Blot (WB). GTX132621
Anti-BDNF antibody used in Western Blot (WB). GTX132621
Anti-BDNF antibody used in IHC (Paraffin sections) (IHC-P). GTX132621
Anti-BDNF antibody used in IHC (Paraffin sections) (IHC-P). GTX132621
Anti-BDNF antibody used in Immunocytochemistry/ Immunofluorescence (ICC/IF). GTX132621
Anti-BDNF antibody used in IHC (Paraffin sections) (IHC-P). GTX132621
  • 宿主
    Rabbit
  • 克隆
    Polyclonal
  • 同种型
    IgG
  • 实验应用
    WB ICC/IF IHC-P IHC-Fr
  • 种属反应
    Human, Mouse, Rat
查看所有 BDNF 的产品