BRCA1 (phospho Ser1423)抗体

目录号 GTX03784
目录号  GTX03784
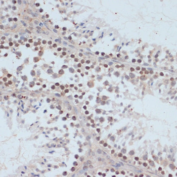
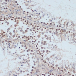
Anti-BRCA1 (phospho Ser1423) antibody used in IHC (Paraffin sections) (IHC-P). GTX03784
GTX03784 IHC-P Image

IHC-P analysis of rat testis tissue using GTX03784 BRCA1 (phospho Ser1423) antibody.
Dilution : 1:100

1 / 5
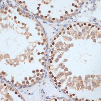
Anti-BRCA1 (phospho Ser1423) antibody used in IHC (Paraffin sections) (IHC-P). GTX03784
GTX03784 IHC-P Image

IHC-P analysis of mouse testis tissue using GTX03784 BRCA1 (phospho Ser1423) antibody.
Dilution : 1:100

2 / 5
Anti-BRCA1 (phospho Ser1423) antibody used in Western Blot (WB). GTX03784
GTX03784 WB Image

WB analysis of HT-29 cell treated by Anisomycin (5ug/mL) for 30 minutes after serum-starvation overnight lysates using GTX03784 BRCA1 (phospho Ser1423) antibody.
Dilution : 1:2000
Loading : 25 μg per lane

3 / 5
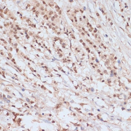
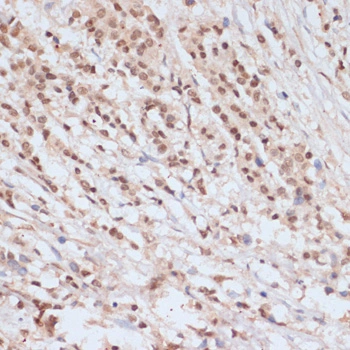
Anti-BRCA1 (phospho Ser1423) antibody used in IHC (Paraffin sections) (IHC-P). GTX03784
GTX03784 IHC-P Image

IHC-P analysis of human breast cancer tissue using GTX03784 BRCA1 (phospho Ser1423) antibody.
Dilution : 1:100

4 / 5
Anti-BRCA1 (phospho Ser1423) antibody used in Immunocytochemistry/ Immunofluorescence (ICC/IF). GTX03784
GTX03784 ICC/IF Image

ICC/IF analysis of U2OS cells using GTX03784 BRCA1 (phospho Ser1423) antibody.
Green : Primary antibody
Blue : DAPI
Dilution : 1:100

5 / 5
Anti-BRCA1 (phospho Ser1423) antibody used in IHC (Paraffin sections) (IHC-P). GTX03784
Anti-BRCA1 (phospho Ser1423) antibody used in IHC (Paraffin sections) (IHC-P). GTX03784
Anti-BRCA1 (phospho Ser1423) antibody used in Western Blot (WB). GTX03784
Anti-BRCA1 (phospho Ser1423) antibody used in IHC (Paraffin sections) (IHC-P). GTX03784
Anti-BRCA1 (phospho Ser1423) antibody used in Immunocytochemistry/ Immunofluorescence (ICC/IF). GTX03784
  • 宿主
    Rabbit
  • 克隆
    Polyclonal
  • 同种型
    IgG
  • 实验应用
    WB ICC/IF IHC-P
  • 种属反应
    Human, Mouse, Rat
查看所有 BRCA1 的产品