Beclin 1抗体

目录号 GTX31722
目录号  GTX31722
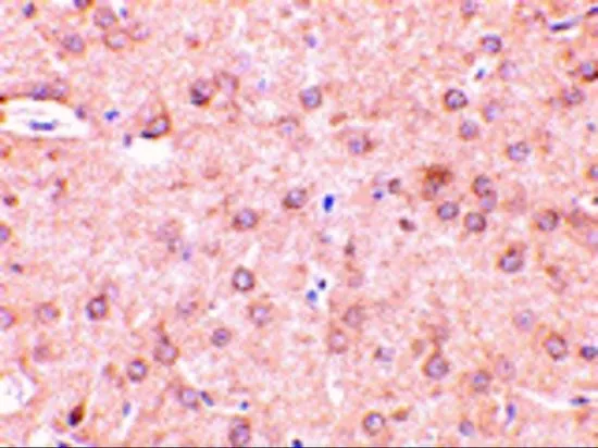
Anti-Beclin 1 antibody used in IHC (Paraffin sections) (IHC-P). GTX31722
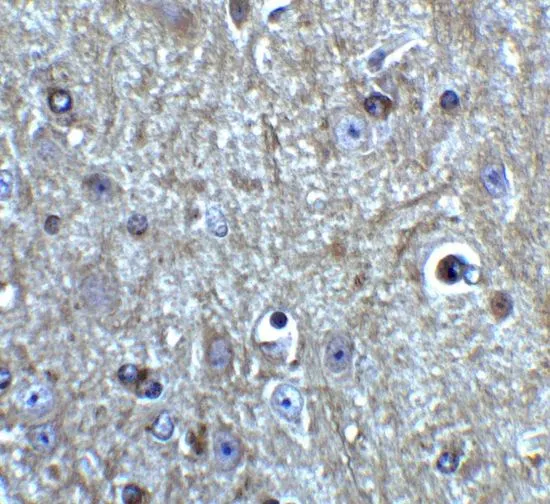
GTX31722 IHC-P Image

IHC-P analysis of rat brain tissue using GTX31722 Beclin 1 antibody.
Working concentration : 2 μg/ml

1 / 10
Anti-Beclin 1 antibody used in IHC (Paraffin sections) (IHC-P). GTX31722
GTX31722 IHC-P Image

IHC-P analysis of mouse brain tissue using GTX31722 Beclin 1 antibody.
Working concentration : 2 μg/ml

2 / 10
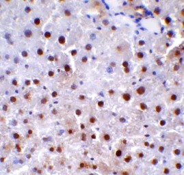
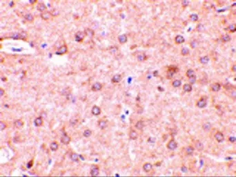
Anti-Beclin 1 antibody used in IHC (Paraffin sections) (IHC-P). GTX31722
GTX31722 IHC-P Image

IHC-P analysis of rat liver tissue using GTX31722 Beclin 1 antibody.
Dilution : 1 μg/ml
Antigen retrieval : heat mediation with a citrate buffer (pH6).

3 / 10
Anti-Beclin 1 antibody used in Western Blot (WB). GTX31722
GTX31722 WB Image

WB analysis of various samples using GTX31722 Beclin 1 antibody.
Dilution : 1 μg/ml
Laoding : 15 μg

4 / 10
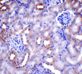
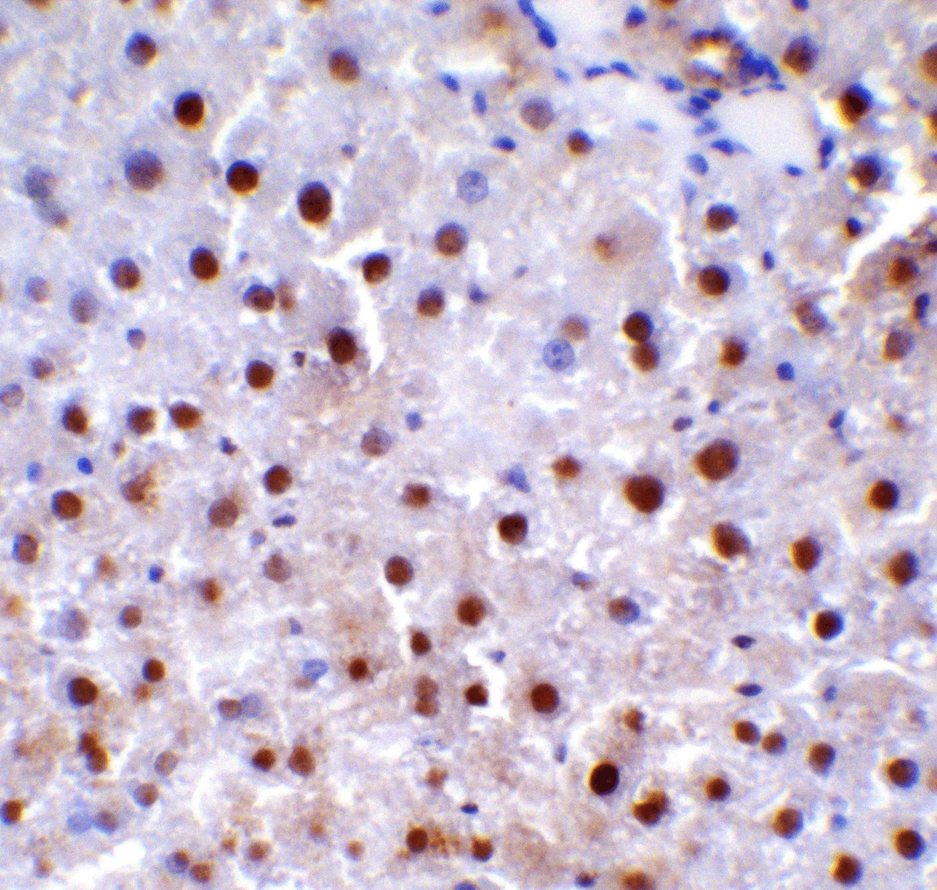
Anti-Beclin 1 antibody used in IHC (Paraffin sections) (IHC-P). GTX31722
GTX31722 IHC-P Image

IHC-P analysis of mouse kidney tissue using GTX31722 Beclin 1 antibody.
Dilution : 1 μg/ml
Antigen retrieval : heat mediation with a citrate buffer (pH6).

5 / 10
Anti-Beclin 1 antibody used in IHC (Paraffin sections) (IHC-P). GTX31722
GTX31722 IHC-P Image

IHC-P analysis of human brain tissue using GTX31722 Beclin 1 antibody.
Working concentration : 2.5 μg/ml

6 / 10
Anti-Beclin 1 antibody used in Western Blot (WB). GTX31722
GTX31722 WB Image

WB analysis of various samples using GTX31722 Beclin 1 antibody.
Dilution : 1 μg/ml
Laoding : 15 μg

7 / 10
Anti-Beclin 1 antibody used in IHC (Paraffin sections) (IHC-P). GTX31722
GTX31722 IHC-P Image

IHC-P analysis of mouse brain tissue using GTX31722 Beclin 1 antibody.
Working concentration : 20 μg/ml

8 / 10
Anti-Beclin 1 antibody used in Western Blot (WB). GTX31722
GTX31722 WB Image

WB analysis of various samples using GTX31722 Beclin 1 antibody.
Dilution : 1 μg/ml
Laoding : 15 μg

9 / 10
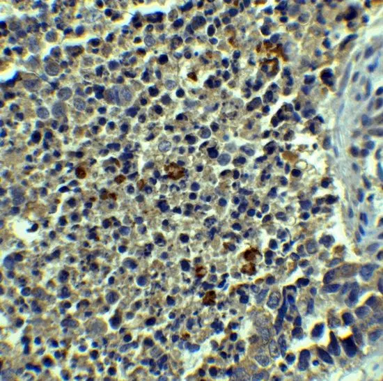
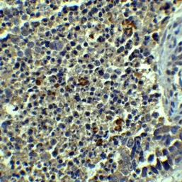
Anti-Beclin 1 antibody used in IHC (Paraffin sections) (IHC-P). GTX31722
GTX31722 IHC-P Image

IHC-P analysis of human brain tissue using GTX31722 Beclin 1 antibody.
Working concentration : 20 μg/ml

10 / 10
Anti-Beclin 1 antibody used in IHC (Paraffin sections) (IHC-P). GTX31722
Anti-Beclin 1 antibody used in IHC (Paraffin sections) (IHC-P). GTX31722
Anti-Beclin 1 antibody used in IHC (Paraffin sections) (IHC-P). GTX31722
Anti-Beclin 1 antibody used in Western Blot (WB). GTX31722
Anti-Beclin 1 antibody used in IHC (Paraffin sections) (IHC-P). GTX31722
Anti-Beclin 1 antibody used in IHC (Paraffin sections) (IHC-P). GTX31722
Anti-Beclin 1 antibody used in Western Blot (WB). GTX31722
Anti-Beclin 1 antibody used in IHC (Paraffin sections) (IHC-P). GTX31722
Anti-Beclin 1 antibody used in Western Blot (WB). GTX31722
Anti-Beclin 1 antibody used in IHC (Paraffin sections) (IHC-P). GTX31722
  • 宿主
    Rabbit
  • 克隆
    Polyclonal
  • 同种型
    IgG
  • 实验应用
    WB ICC/IF IHC-P ELISA
  • 种属反应
    Human, Mouse, Rat
查看所有 Beclin 1 的产品