Bmi1抗体

目录号 GTX114008
目录号  GTX114008
Anti-Bmi1 antibody used in Immunoprecipitation (IP). GTX114008
GTX114008 IP Image

Bmi1 antibody immunoprecipitates Bmi1 protein in IP experiments. IP Sample: 293T whole cell lysate/extract A : 30 μg whole cell lysate/extract of Bmi1 protein expressing 293T cells B : Control with 2.5 μg of pre-immune rabbit IgG C : Immunoprecipitation of Bmi1 protein by 2.5 μg of Bmi1 antibody (GTX114008) 10% SDS-PAGE The immunoprecipitated Bmi1 protein was detected by Bmi1 antibody (GTX114008) diluted at 1 : 1000. EasyBlot anti-rabbit IgG (HRP) (GTX221666-01) was used as a secondary reagent.

1 / 20
Anti-Bmi1 antibody used in Western Blot (WB). GTX114008
GTX114008 WB Image

Whole cell extract (30 μg) was separated by 10% SDS-PAGE, and the membrane was blotted with Bmi1 antibody (GTX114008) diluted at 1:1000. The HRP-conjugated anti-rabbit IgG antibody (GTX213110-01) was used to detect the primary antibody.

2 / 20
Anti-Bmi1 antibody used in Western Blot (WB). GTX114008
GTX114008 WB Image

Bmi1 antibody detects BMI1 protein by western blot analysis.
A. 30 μg C8D30 whole cell lysate/extract
B. 30 μg BCL-1 whole cell lysate/extract
C. 30 μg Raw264.7 whole cell lysate/extract
10% SDS-PAGE
Bmi1 antibody (GTX114008) dilution: 1:1000
The HRP-conjugated anti-rabbit IgG antibody (GTX213110-01) was used to detect the primary antibody.

3 / 20
Anti-Bmi1 antibody used in IHC (Paraffin sections) (IHC-P). GTX114008
GTX114008 IHC-P Image

Bmi1 antibody detects Bmi1 protein at cytosol and nucleus on human ovarian carcinoma by immunohistochemical analysis.
Sample: Paraffin-embedded human ovarian carcinoma.
Bmi1 antibody (GTX114008) dilution: 1:500.

Antigen Retrieval: Trilogy™ (EDTA based, pH 8.0) buffer, 15min

4 / 20
Anti-Bmi1 antibody used in Western Blot (WB). GTX114008
GTX114008 WB Image

Various whole cell extracts (30 μg) were separated by 10% SDS-PAGE, and the membrane was blotted with Bmi1 antibody (GTX114008) diluted at 1:1000. The HRP-conjugated anti-rabbit IgG antibody (GTX213110-01) was used to detect the primary antibody.

5 / 20
Anti-Bmi1 antibody used in Immunocytochemistry/ Immunofluorescence (ICC/IF). GTX114008
GTX114008 ICC/IF Image

BMI1 antibody [N1C3-2] detects BMI1 protein by immunofluorescent analysis.
Sample: HeLa cells were fixed in 4% paraformaldehyde for 15 min.
Green: BMI1 protein stained by BMI1 antibody (GTX114008) diluted at 1:1000.
Blue: Hoechst 33342 staining.
Scale bar = 10 μm.

6 / 20
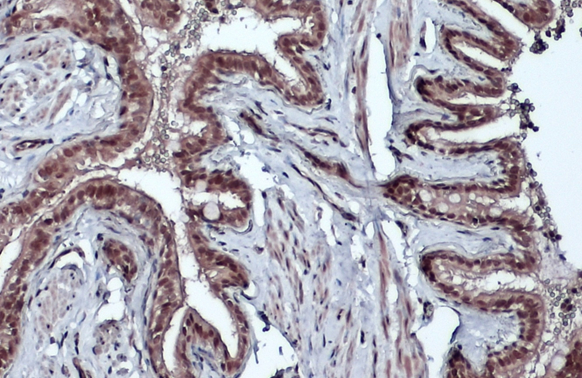
Anti-Bmi1 antibody used in IHC (Paraffin sections) (IHC-P). GTX114008
GTX114008 IHC-P Image

Bmi1 antibody detects Bmi1 protein at cytosol and nucleus on human breast carcinoma by immunohistochemical analysis.
Sample: Paraffin-embedded human breast carcinoma.
Bmi1 antibody (GTX114008) dilution: 1:500.

Antigen Retrieval: Trilogy™ (EDTA based, pH 8.0) buffer, 15min

7 / 20
Anti-Bmi1 antibody used in Western Blot (WB). GTX114008
GTX114008 WB Image

Bmi1 antibody detects BMI1 protein by western blot analysis.
A. 30 μg THP-1 whole cell lysate/extract
B. 30 μg HL-60 whole cell lysate/extract
10% SDS-PAGE
Bmi1 antibody (GTX114008) dilution: 1:1000
The HRP-conjugated anti-rabbit IgG antibody (GTX213110-01) was used to detect the primary antibody.

8 / 20
Anti-Bmi1 antibody used in Western Blot (WB). GTX114008
GTX114008 WB Image

Bmi1 antibody detects Bmi1 protein by western blot analysis.
A. 30 μg K562 whole cell lysate/extract
B. 30 μg THP-1 whole cell lysate/extract
10% SDS-PAGE
Bmi1 antibody (GTX114008) dilution: 1:1000
The HRP-conjugated anti-rabbit IgG antibody (GTX213110-01) was used to detect the primary antibody.

9 / 20
Anti-Bmi1 antibody used in Western Blot (WB). GTX114008
GTX114008 WB Image

Non-transfected (–) and transfected (+) HeLa whole cell extracts (30 μg) were separated by 10% SDS-PAGE, and the membrane was blotted with Bmi1 antibody (GTX114008) diluted at 1:500. The HRP-conjugated anti-rabbit IgG antibody (GTX213110-01) was used to detect the primary antibody.

10 / 20
Anti-Bmi1 antibody used in Western Blot (WB). GTX114008
GTX114008 WB Image

Whole cell extract (30 μg) was separated by 10% SDS-PAGE, and the membrane was blotted with Bmi1 antibody (GTX114008) diluted at 1:1000. The HRP-conjugated anti-rabbit IgG antibody (GTX213110-01) was used to detect the primary antibody.

11 / 20
Anti-Bmi1 antibody used in Western Blot (WB). GTX114008
GTX114008 WB Image

Whole cell extract (30 μg) was separated by 10% SDS-PAGE, and the membrane was blotted with Bmi1 antibody (GTX114008) diluted at 1:1000. The HRP-conjugated anti-rabbit IgG antibody (GTX213110-01) was used to detect the primary antibody.

12 / 20
Anti-Bmi1 antibody used in Western Blot (WB). GTX114008
GTX114008 WB Image

Whole cell extract (30 μg) was separated by 10% SDS-PAGE, and the membrane was blotted with Bmi1 antibody (GTX114008) diluted at 1:1000. The HRP-conjugated anti-rabbit IgG antibody (GTX213110-01) was used to detect the primary antibody, and the signal was developed with Trident ECL plus-Enhanced.

13 / 20
Anti-Bmi1 antibody used in IHC (Paraffin sections) (IHC-P). GTX114008
GTX114008 IHC-P Image

Bmi1 antibody detects Bmi1 protein at cytoplasm and nucleus by immunohistochemical analysis.
Sample: Paraffin-embedded dog lung.
Bmi1 stained by Bmi1 antibody (GTX114008) diluted at 1:500.
Antigen Retrieval: Citrate buffer, pH 6.0, 15 min

14 / 20
Anti-Bmi1 antibody used in Immunocytochemistry/ Immunofluorescence (ICC/IF). GTX114008
GTX114008 ICC/IF Image

Bmi1 antibody detects Bmi1 protein at nucleus by immunofluorescent analysis.
Sample: PG-4 cells were fixed in 4% paraformaldehyde at RT for 15 min.
Green: Bmi1 stained by Bmi1 antibody (GTX114008) diluted at 1:1000.
Blue: Hoechst 33342 staining.
Scale bar= 10 μm.

15 / 20
Anti-Bmi1 antibody used in Immunocytochemistry/ Immunofluorescence (ICC/IF). GTX114008
GTX114008 ICC/IF Image

Bmi1 antibody detects Bmi1 protein at nucleus by immunofluorescent analysis.
Sample: MDCK cells were fixed in 4% paraformaldehyde at RT for 15 min.
Green: Bmi1 stained by Bmi1 antibody (GTX114008) diluted at 1:1000.
Red: phalloidin, a cytoskeleton marker, diluted at 1:100.
Scale bar= 10 μm.

16 / 20
Anti-Bmi1 antibody used in Western Blot (WB). GTX114008
GTX114008 WB Image

The data was published in the journal Cell Death Dis in 2015. PMID: 26136074

17 / 20
Anti-Bmi1 antibody used in Western Blot (WB). GTX114008
GTX114008 WB Image

The data was published in the journal BMC Cancer in 2017.PMID: 28629331

18 / 20
Anti-Bmi1 antibody used in Western Blot (WB). GTX114008
GTX114008 WB Image

The data was published in the journal J Biomed Sci in 2016.PMID: 27863490

19 / 20
Anti-Bmi1 antibody used in Western Blot (WB). GTX114008
GTX114008 WB Image

The data was published in the journal J Biomed Sci in 2016.PMID: 27863490

20 / 20
Anti-Bmi1 antibody used in Immunoprecipitation (IP). GTX114008
Anti-Bmi1 antibody used in Western Blot (WB). GTX114008
Anti-Bmi1 antibody used in Western Blot (WB). GTX114008
Anti-Bmi1 antibody used in IHC (Paraffin sections) (IHC-P). GTX114008
Anti-Bmi1 antibody used in Western Blot (WB). GTX114008
Anti-Bmi1 antibody used in Immunocytochemistry/ Immunofluorescence (ICC/IF). GTX114008
Anti-Bmi1 antibody used in IHC (Paraffin sections) (IHC-P). GTX114008
Anti-Bmi1 antibody used in Western Blot (WB). GTX114008
Anti-Bmi1 antibody used in Western Blot (WB). GTX114008
Anti-Bmi1 antibody used in Western Blot (WB). GTX114008
Anti-Bmi1 antibody used in Western Blot (WB). GTX114008
Anti-Bmi1 antibody used in Western Blot (WB). GTX114008
Anti-Bmi1 antibody used in Western Blot (WB). GTX114008
Anti-Bmi1 antibody used in IHC (Paraffin sections) (IHC-P). GTX114008
Anti-Bmi1 antibody used in Immunocytochemistry/ Immunofluorescence (ICC/IF). GTX114008
Anti-Bmi1 antibody used in Immunocytochemistry/ Immunofluorescence (ICC/IF). GTX114008
Anti-Bmi1 antibody used in Western Blot (WB). GTX114008
Anti-Bmi1 antibody used in Western Blot (WB). GTX114008
Anti-Bmi1 antibody used in Western Blot (WB). GTX114008
Anti-Bmi1 antibody used in Western Blot (WB). GTX114008
  • 宿主
    Rabbit
  • 克隆
    Polyclonal
  • 同种型
    IgG
  • 实验应用
    WB ICC/IF IHC-P IP
  • 种属反应
    Human, Mouse, Cat, Dog
查看所有 Bmi1 的产品