C/EBP beta (phospho Thr235)抗体

目录号 GTX55008
目录号  GTX55008
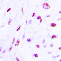
Anti-C/EBP beta (phospho Thr235) antibody used in IHC (Paraffin sections) (IHC-P). GTX55008
GTX55008 IHC-P Image

IHC-P analysis of formalin fixed human lung cancer tissue section using GTX55008 C/EBP beta (phospho Thr235) antibody.
Antigen retrieval : Heat mediated antigen retrieval with sodium citrate buffer (pH 6.0)

1 / 3
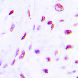
Anti-C/EBP beta (phospho Thr235) antibody used in Immunocytochemistry/ Immunofluorescence (ICC/IF). GTX55008
GTX55008 ICC/IF Image

ICC/IF analysis of formalin-fixed HEK293T cells using GTX55008 C/EBP beta (phospho Thr235) antibody.
Red : Primary antibody
Blue : DAPI
Permeabilization : 0.1% Triton X-100 in TBS for 5-10 minutes

2 / 3
Anti-C/EBP beta (phospho Thr235) antibody used in Western Blot (WB). GTX55008
GTX55008 WB Image

WB analysis of EGF-treated HEK293T (A), EGF-treated COLO205 (B) whole cell lysates using GTX55008 C/EBP beta (phospho Thr235) antibody.

3 / 3
Anti-C/EBP beta (phospho Thr235) antibody used in IHC (Paraffin sections) (IHC-P). GTX55008
Anti-C/EBP beta (phospho Thr235) antibody used in Immunocytochemistry/ Immunofluorescence (ICC/IF). GTX55008
Anti-C/EBP beta (phospho Thr235) antibody used in Western Blot (WB). GTX55008
  • 宿主
    Rabbit
  • 克隆
    Polyclonal
  • 同种型
    IgG
  • 实验应用
    WB ICC/IF IHC-P
  • 种属反应
    Human
查看所有 C/EBP beta 的产品