CD34抗体

目录号 GTX02560
目录号  GTX02560
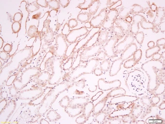
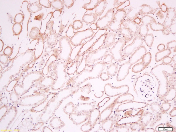
Anti-CD34 antibody used in IHC (Paraffin sections) (IHC-P). GTX02560
GTX02560 IHC-P Image

IHC-P analysis of mouse kidney tissue using GTX02560 CD34 antibody.
Antigen retrieval : Boiling in sodium citrate buffer (pH6) for 15min
Dilution : 1:200

1 / 2
Anti-CD34 antibody used in Flow cytometry (FCM). GTX02560
GTX02560 FCM Image

FACS analysis of Raji cells using GTX02560 CD34 antibody.
Green : Primary antibody
Blue : Unstained cells
Light blue : Secondary antibody only
Orange : Isotype control
Dilution : 1:100

2 / 2
Anti-CD34 antibody used in IHC (Paraffin sections) (IHC-P). GTX02560
Anti-CD34 antibody used in Flow cytometry (FCM). GTX02560
  • 宿主
    Rabbit
  • 克隆
    Polyclonal
  • 同种型
    IgG
  • 实验应用
    IHC-P FCM
  • 种属反应
    Human, Mouse, Rat, Pig
查看所有 CD34 的产品