CD44抗体

目录号 GTX102111
目录号  GTX102111
Anti-CD44 antibody used in Western Blot (WB). GTX102111
GTX102111 WB Image

Non-transfected (–) and transfected (+) Wild-type (WT) and G CD44 knockout (KO) HeLa cell extracts (30 μg) were separated by 7.5% SDS-PAGE, and the membrane was blotted with CD44 antibody (GTX102111) diluted at 1:7000. The HRP-conjugated anti-rabbit IgG antibody (GTX213110-01) was used to detect the primary antibody.

1 / 19
Anti-CD44 antibody used in Western Blot (WB). GTX102111
GTX102111 WB Image

Various whole cell extracts (30 μg) were separated by 7.5% SDS-PAGE, and the membranes were blotted with CD44 antibody (GTX102111) diluted at 1:5000 and competitor's antibody (# Highly Cited Antibody) diluted at 1:5000. The HRP-conjugated anti-rabbit IgG antibody (GTX213110-01) was used to detect the primary antibody.

*The competitor is not affiliated with GeneTex and does not endorse this product.

2 / 19
Anti-CD44 antibody used in Western Blot (WB). GTX102111
GTX102111 WB Image

Untreated (–) and treated (+) MDA-MB-231 whole cell extracts (30 μg) were separated by 7.5% SDS-PAGE, and the membrane was blotted with CD44 antibody (GTX102111) diluted at 1:7000. The HRP-conjugated anti-rabbit IgG antibody (GTX213110-01) was used to detect the primary antibody.

3 / 19
Anti-CD44 antibody used in Western Blot (WB). GTX102111
GTX102111 WB Image

Untreated (–) and treated (+) HeLa whole cell extracts (30 μg) were separated by 7.5% SDS-PAGE, and the membrane was blotted with CD44 antibody (GTX102111) diluted at 1:10000. The HRP-conjugated anti-rabbit IgG antibody (GTX213110-01) was used to detect the primary antibody.

4 / 19
Anti-CD44 antibody used in Western Blot (WB). GTX102111
GTX102111 WB Image

Untreated (–) and treated (+) HeLa whole cell extracts (30 μg) were separated by 10% SDS-PAGE, and the membrane was blotted with CD44 antibody (GTX102111) diluted at 1:45000. The HRP-conjugated anti-rabbit IgG antibody (GTX213110-01) was used to detect the primary antibody, and the signal was developed with Trident ECL plus-Enhanced.

5 / 19
Anti-CD44 antibody used in IHC (Paraffin sections) (IHC-P). GTX102111
GTX102111 IHC-P Image

CD44 antibody detects CD44 protein at cell membrane and cytoplasm by immunohistochemical analysis.
Sample: Paraffin-embedded human cervical carcinoma.
CD44 stained by CD44 antibody (GTX102111) diluted at 1:500.
Antigen Retrieval: Citrate buffer, pH 6.0, 15 min

6 / 19
Anti-CD44 antibody used in Western Blot (WB). GTX102111
GTX102111 WB Image

Various whole cell extracts (30 μg) were separated by 7.5% SDS-PAGE, and the membrane was blotted with CD44 antibody (GTX102111) diluted at 1:5000. The HRP-conjugated anti-rabbit IgG antibody (GTX213110-01) was used to detect the primary antibody. Corresponding RNA expression data for the same cell lines are based on Human Protein Atlas program.

7 / 19
Anti-CD44 antibody used in IHC (Paraffin sections) (IHC-P). GTX102111
GTX102111 IHC-P Image

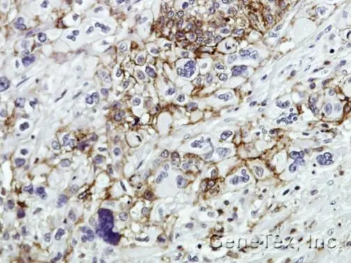
Immunohistochemical analysis of paraffin-embedded Human pancreatic tumor, using CD44(GTX102111) antibody at 1:100 dilution.
Antigen Retrieval: Trilogy™ (EDTA based, pH 8.0) buffer, 15min

8 / 19
Anti-CD44 antibody used in Western Blot (WB). GTX102111
GTX102111 WB Image

Various whole cell extracts (30 μg) were separated by 10% SDS-PAGE, and the membrane was blotted with CD44 antibody (GTX102111) diluted at 1:5000. The HRP-conjugated anti-rabbit IgG antibody (GTX213110-01) was used to detect the primary antibody.

9 / 19
Anti-CD44 antibody used in Immunocytochemistry/ Immunofluorescence (ICC/IF). GTX102111
GTX102111 ICC/IF Image

Confocal immunofluorescence analysis (Olympus FV10i) of methanol-fixed HeLa, using CD44(GTX102111) antibody (Green) at 1:500 dilution. Alpha-tubulin filaments were labeled with GTX11304 (Red) at 1:2000.

10 / 19
Anti-CD44 antibody used in IHC (Paraffin sections) (IHC-P). GTX102111
GTX102111 IHC-P Image

CD44 antibody detects CD44 protein at membrane and cytoplasm on human endometrial carcinoma by immunohistochemical analysis.
Sample: Paraffin-embedded human endometrial carcinoma .
CD44 antibody (GTX102111) diluted at 1:500.

Antigen Retrieval: Trilogy™ (EDTA based, pH 8.0) buffer, 15min

11 / 19
Anti-CD44 antibody used in Immunocytochemistry/ Immunofluorescence (ICC/IF). GTX102111
GTX102111 ICC/IF Image

CD44 antibody detects CD44 protein at cell membrane by immunofluorescent analysis.
Sample: A431 cells were fixed in ice-cold MeOH for 5 min.
Green: CD44 stained by CD44 antibody (GTX102111) diluted at 1:500.
Blue: Fluoroshield with DAPI (GTX30920).

12 / 19
Anti-CD44 antibody used in Western Blot (WB). GTX102111
GTX102111 WB Image

The data was published in the journal Sci Rep in 2018.PMID: 29955155

13 / 19
Anti-CD44 antibody used in Western Blot (WB). GTX102111
GTX102111 WB Image

The data was published in the journal Cell Death Dis in 2015.PMID: 26136074

14 / 19
Anti-CD44 antibody used in Western Blot (WB). GTX102111
GTX102111 WB Image

The data was published in the journal Cell Death Dis in 2015.PMID: 26136074

15 / 19
Anti-CD44 antibody used in Western Blot (WB). GTX102111
GTX102111 WB Image

The data was published in the journal Cell Death Dis in 2015.PMID: 26136074

16 / 19
Anti-CD44 antibody used in Immunocytochemistry/ Immunofluorescence (ICC/IF). GTX102111
GTX102111 ICC/IF Image

The data was published in the journal Oncotarget in 2016. PMID: 27487131

17 / 19
Anti-CD44 antibody used in Immunocytochemistry/ Immunofluorescence (ICC/IF). GTX102111
GTX102111 ICC/IF Image

The data was published in the 2021 in Commun Biol. PMID: 33637851

18 / 19
Anti-CD44 antibody used in Live cell imaging (LCI). GTX102111
GTX102111 LCI Image

The data was published in the 2021 in Commun Biol. PMID: 33637851

19 / 19
Anti-CD44 antibody used in Western Blot (WB). GTX102111
Anti-CD44 antibody used in Western Blot (WB). GTX102111
Anti-CD44 antibody used in Western Blot (WB). GTX102111
Anti-CD44 antibody used in Western Blot (WB). GTX102111
Anti-CD44 antibody used in Western Blot (WB). GTX102111
Anti-CD44 antibody used in IHC (Paraffin sections) (IHC-P). GTX102111
Anti-CD44 antibody used in Western Blot (WB). GTX102111
Anti-CD44 antibody used in IHC (Paraffin sections) (IHC-P). GTX102111
Anti-CD44 antibody used in Western Blot (WB). GTX102111
Anti-CD44 antibody used in Immunocytochemistry/ Immunofluorescence (ICC/IF). GTX102111
Anti-CD44 antibody used in IHC (Paraffin sections) (IHC-P). GTX102111
Anti-CD44 antibody used in Immunocytochemistry/ Immunofluorescence (ICC/IF). GTX102111
Anti-CD44 antibody used in Western Blot (WB). GTX102111
Anti-CD44 antibody used in Western Blot (WB). GTX102111
Anti-CD44 antibody used in Western Blot (WB). GTX102111
Anti-CD44 antibody used in Western Blot (WB). GTX102111
Anti-CD44 antibody used in Immunocytochemistry/ Immunofluorescence (ICC/IF). GTX102111
Anti-CD44 antibody used in Immunocytochemistry/ Immunofluorescence (ICC/IF). GTX102111
Anti-CD44 antibody used in Live cell imaging (LCI). GTX102111
  • 宿主
    Rabbit
  • 克隆
    Polyclonal
  • 同种型
    IgG
  • 实验应用
    WB ICC/IF IHC-P IHC-Fr IP LCI
  • 种属反应
    Human, Rat, Rabbit
摘要
CD44 is an 82kDa multifunctional transmembrane glycoprotein involved in cell migration, proliferation, differentiation, and signaling pathways that mediate cell survival. It is involved in many malignancies as well as being recognized as a cancer stem cell marker. Importantly, it is expressed in leukocytes and is a marker of leukemia-initiating cells, being found to be critical in the pathogenesis of T cell acute lymphoblastic leukemia.
查看所有 CD44 的产品