CD63抗体 [HL4361]

目录号 GTX643611
目录号  GTX643611
Anti-CD63 antibody [HL4361] used in Western Blot (WB). GTX643611
GTX643611 WB Image

Whole cell extract (30 μg) was separated by 12% SDS-PAGE, and the membrane was blotted with CD63 antibody [HL4361] (GTX643611) diluted at 1:1000. The HRP-conjugated anti-rabbit IgG antibody (GTX213110-01) was used to detect the primary antibody, and the signal was developed with Trident femto Western HRP Substrate.

1 / 7
Anti-CD63 antibody [HL4361] used in IHC (Paraffin sections) (IHC-P). GTX643611
GTX643611 IHC-P Image

CD63 antibody [HL4361] detects CD63 protein by immunohistochemical analysis.
Sample: Paraffin-embedded mouse tissues.
CD63 stained by CD63 antibody [HL4361] (GTX643611) diluted at 1:400.
Antigen Retrieval: Tris-EDTA buffer, pH 9.0, 15 min

2 / 7
Anti-CD63 antibody [HL4361] used in IHC (Paraffin sections) (IHC-P). GTX643611
GTX643611 IHC-P Image

CD63 antibody [HL4361] detects CD63 protein by immunohistochemical analysis.
Sample: Paraffin-embedded mouse tissues.
CD63 stained by CD63 antibody [HL4361] (GTX643611) diluted at 1:400.
Antigen Retrieval: Tris-EDTA buffer, pH 9.0, 15 min

3 / 7
Anti-CD63 antibody [HL4361] used in IHC (Paraffin sections) (IHC-P). GTX643611
GTX643611 IHC-P Image

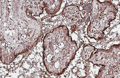
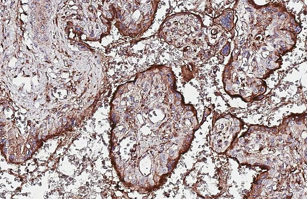
CD63 antibody [HL4361] detects CD63 protein by immunohistochemical analysis.
Sample: Paraffin-embedded human placenta.
CD63 stained by CD63 antibody [HL4361] (GTX643611) diluted at 1:200.
Antigen Retrieval: Tris-EDTA buffer, pH 9.0, 15 min

4 / 7
Anti-CD63 antibody [HL4361] used in IHC (Paraffin sections) (IHC-P). GTX643611
GTX643611 IHC-P Image

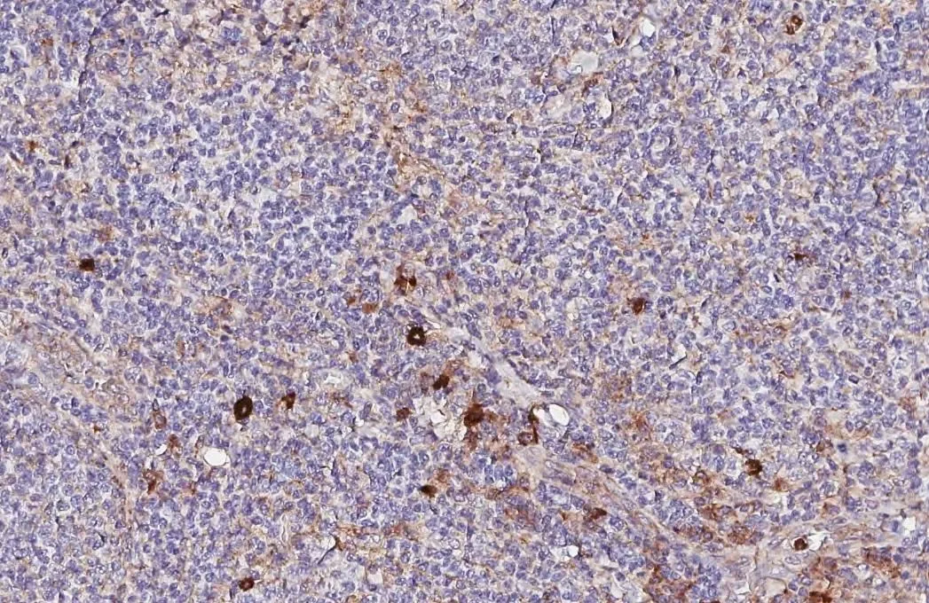
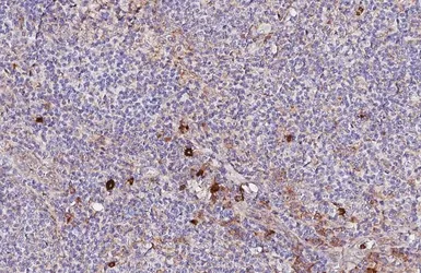
CD63 antibody [HL4361] detects CD63 protein by immunohistochemical analysis.
Sample: Paraffin-embedded human tonsil.
CD63 stained by CD63 antibody [HL4361] (GTX643611) diluted at 1:2000.
Antigen Retrieval: Tris-EDTA buffer, pH 9.0, 15 min

5 / 7
Anti-CD63 antibody [HL4361] used in Western Blot (WB). GTX643611
GTX643611 WB Image

Various whole cell extracts (30 μg) were separated by 12% SDS-PAGE, and the membrane was blotted with CD63 antibody [HL4361] (GTX643611) diluted at 1:5000. The HRP-conjugated anti-rabbit IgG antibody (GTX213110-01) was used to detect the primary antibody.

6 / 7
Anti-CD63 antibody [HL4361] used in Western Blot (WB). GTX643611
GTX643611 WB Image

Various whole cell extracts (30 μg) were separated by 12% SDS-PAGE, and the membrane was blotted with CD63 antibody [HL4361] (GTX643611) diluted at 1:1000. The HRP-conjugated anti-rabbit IgG antibody (GTX213110-01) was used to detect the primary antibody. Corresponding RNA expression data are based on Human Protein Atlas program.

7 / 7
Anti-CD63 antibody [HL4361] used in Western Blot (WB). GTX643611
Anti-CD63 antibody [HL4361] used in IHC (Paraffin sections) (IHC-P). GTX643611
Anti-CD63 antibody [HL4361] used in IHC (Paraffin sections) (IHC-P). GTX643611
Anti-CD63 antibody [HL4361] used in IHC (Paraffin sections) (IHC-P). GTX643611
Anti-CD63 antibody [HL4361] used in IHC (Paraffin sections) (IHC-P). GTX643611
Anti-CD63 antibody [HL4361] used in Western Blot (WB). GTX643611
Anti-CD63 antibody [HL4361] used in Western Blot (WB). GTX643611
  • 宿主
    Rabbit
  • 克隆
    Monoclonal
  • 克隆编号
    HL4361
  • 同种型
    IgG
  • 实验应用
    WB IHC-P
  • 种属反应
    Human, Mouse, Cat
查看所有 CD63 的产品