CD63抗体

目录号 GTX132953
目录号  GTX132953
Anti-CD63 antibody used in Western Blot (WB). GTX132953
GTX132953 WB Image

Wild-type (WT) and CD63 knockout (KO) 293T cell extracts (30 μg) were separated by 10% SDS-PAGE, and the membrane was blotted with CD63 antibody (GTX132953) diluted at 1:500. The HRP-conjugated anti-rabbit IgG antibody (GTX213110-01) was used to detect the primary antibody.

1 / 3
Anti-CD63 antibody used in Western Blot (WB). GTX132953
GTX132953 WB Image

Various whole cell extracts (30 μg) were separated by 10% SDS-PAGE, and the membrane was blotted with CD63 antibody (GTX132953) diluted at 1:1000. The HRP-conjugated anti-rabbit IgG antibody (GTX213110-01) was used to detect the primary antibody.

2 / 3
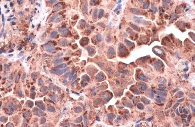
Anti-CD63 antibody used in IHC (Paraffin sections) (IHC-P). GTX132953
GTX132953 IHC-P Image

CD63 antibody detects CD63 protein at cytoplasm by immunohistochemical analysis.
Sample: Paraffin-embedded human lung cancer.
CD63 stained by CD63 antibody (GTX132953) diluted at 1:1000.
Antigen Retrieval: Citrate buffer, pH 6.0, 15 min

3 / 3
Anti-CD63 antibody used in Western Blot (WB). GTX132953
Anti-CD63 antibody used in Western Blot (WB). GTX132953
Anti-CD63 antibody used in IHC (Paraffin sections) (IHC-P). GTX132953
  • 宿主
    Rabbit
  • 克隆
    Polyclonal
  • 同种型
    IgG
  • 实验应用
    WB IHC-P
  • 种属反应
    Human
查看所有 CD63 的产品