CD81抗体

目录号 GTX101766
目录号  GTX101766
Anti-CD81 antibody used in Western Blot (WB). GTX101766
GTX101766 WB Image

AsPC-1 exosome extracts (5.5 μg) was separated by 12% SDS-PAGE, and the membrane was blotted with CD81 antibody (GTX101766) diluted at 1:500. The HRP-conjugated anti-rabbit IgG antibody (GTX213110-01) was used to detect the primary antibody.

1 / 9
Anti-CD81 antibody used in Flow cytometry (FCM). GTX101766
GTX101766 FCM Image

CD81 antibody (GTX101766) detects CD81 by flow cytometry analysis.
Sample: THP-1 cell.
Black: Unlabelled sample was used as a control.
Red: CD81 antibody (GTX101766) dilution: 1:50.
Acquisition of 20,000 events were collected for FACS analysis.

2 / 9
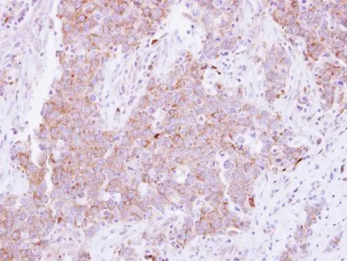
Anti-CD81 antibody used in IHC (Paraffin sections) (IHC-P). GTX101766
GTX101766 IHC-P Image

Immunohistochemical analysis of paraffin-embedded human lung Papillary adenocarcinoma, using CD81(GTX101766) antibody at 1:250 dilution.
Antigen Retrieval: Trilogy™ (EDTA based, pH 8.0) buffer, 15min

3 / 9
Anti-CD81 antibody used in Immunocytochemistry/ Immunofluorescence (ICC/IF). GTX101766
GTX101766 ICC/IF Image

CD81 antibody detects CD81 protein by immunofluorescent analysis.
Sample: Jurkat and HepG2 cells were fixed in 4% paraformaldehyde at RT for 15 min.
Green: CD81 stained by CD81 antibody (GTX101766) diluted at 1:500.

4 / 9
Anti-CD81 antibody used in Western Blot (WB). GTX101766
GTX101766 WB Image

Non-transfected (–) and transfected (+) 293T whole cell extracts (30 μg) were separated by 12% SDS-PAGE, and the membrane was blotted with CD81 antibody (GTX101766) diluted at 1:1000. The HRP-conjugated anti-rabbit IgG antibody (GTX213110-01) was used to detect the primary antibody.

5 / 9
Anti-CD81 antibody used in Western Blot (WB). GTX101766
GTX101766 WB Image

Various whole cell extracts (30 μg) were separated by 12% SDS-PAGE, and the membrane was blotted with CD81 antibody (GTX101766) diluted at 1:1000. The HRP-conjugated anti-rabbit IgG antibody (GTX213110-01) was used to detect the primary antibody.

6 / 9
Anti-CD81 antibody used in Western Blot (WB). GTX101766
GTX101766 WB Image

The data was published in the journal J Hematol Oncol in 2019. PMID: 30683126

7 / 9
Anti-CD81 antibody used in Western Blot (WB). GTX101766
GTX101766 WB Image

The data was published in the journal Stem Cells Transl Med in 2020.PMID: 31943851

8 / 9
Anti-CD81 antibody used in Western Blot (WB). GTX101766
GTX101766 WB Image

The data was published in the journal J Clin Med in 2019.PMID: 31167519

9 / 9
Anti-CD81 antibody used in Western Blot (WB). GTX101766
Anti-CD81 antibody used in Flow cytometry (FCM). GTX101766
Anti-CD81 antibody used in IHC (Paraffin sections) (IHC-P). GTX101766
Anti-CD81 antibody used in Immunocytochemistry/ Immunofluorescence (ICC/IF). GTX101766
Anti-CD81 antibody used in Western Blot (WB). GTX101766
Anti-CD81 antibody used in Western Blot (WB). GTX101766
Anti-CD81 antibody used in Western Blot (WB). GTX101766
Anti-CD81 antibody used in Western Blot (WB). GTX101766
Anti-CD81 antibody used in Western Blot (WB). GTX101766
  • 宿主
    Rabbit
  • 克隆
    Polyclonal
  • 同种型
    IgG
  • 实验应用
    WB ICC/IF IHC-P FCM Blocking
  • 种属反应
    Human, Mouse, Rat
查看所有 CD81 的产品