CD90抗体 [HL1766]

目录号 GTX637416
目录号  GTX637416
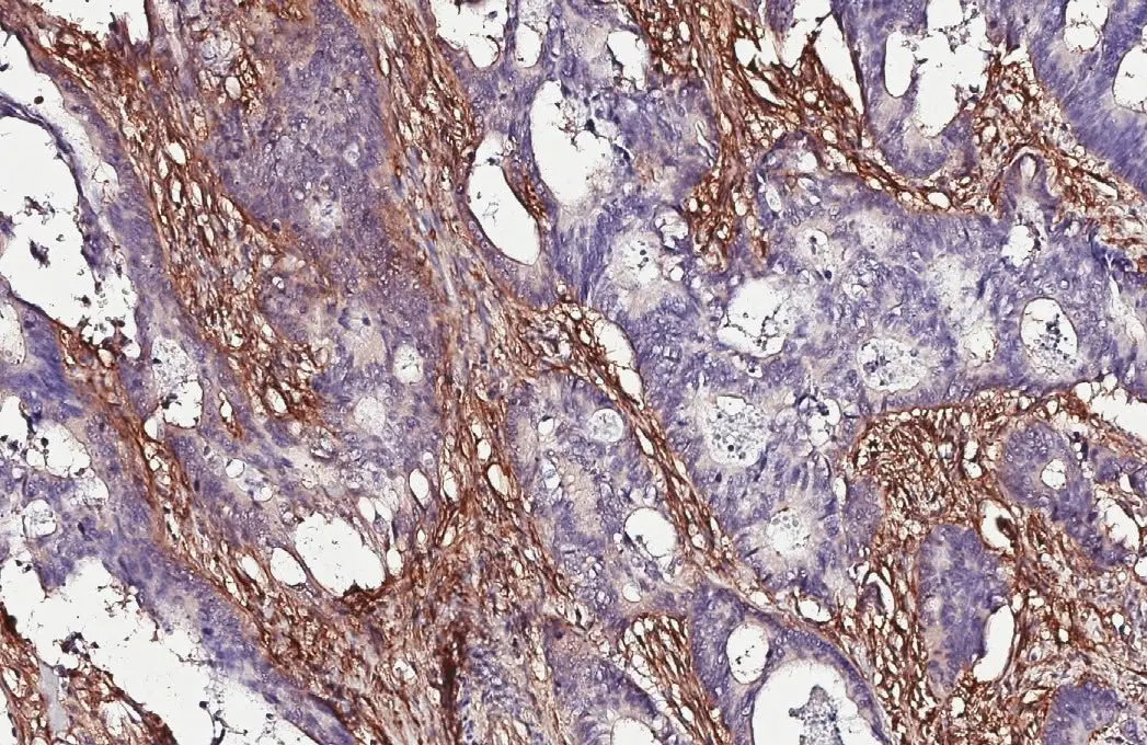
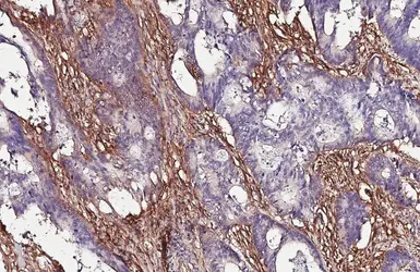
Anti-CD90 antibody [HL1766] used in IHC (Paraffin sections) (IHC-P). GTX637416
GTX637416 IHC-P Image

CD90 antibody [HL1766] detects CD90 protein by immunohistochemical analysis.
Sample: Paraffin-embedded human colorectal cancer.
CD90 stained by CD90 antibody [HL1766] (GTX637416) diluted at 1:200.
Antigen Retrieval: Citrate buffer, pH 6.0, 15 min

1 / 5
Anti-CD90 antibody [HL1766] used in Western Blot (WB). GTX637416
GTX637416 WB Image

Various whole cell extracts (30 μg) were separated by 12% SDS-PAGE, and the membrane was blotted with CD90 antibody [HL1766] (GTX637416) diluted at 1:1000. The HRP-conjugated anti-rabbit IgG antibody (GTX213110-01) was used to detect the primary antibody. Corresponding RNA expression data for the same cell lines are based on Human Protein Atlas program.

2 / 5
Anti-CD90 antibody [HL1766] used in Immunocytochemistry/ Immunofluorescence (ICC/IF). GTX637416
GTX637416 ICC/IF Image

CD90 antibody [HL1766] detects CD90 protein at cell membrane by immunofluorescent analysis.
Sample: DIV9 rat E18 primary cortical neuron cells were fixed in 4% paraformaldehyde at RT for 15 min.
Green: CD90 stained by CD90 antibody [HL1766] (GTX637416) diluted at 1:250.
Red: Tau, an Axon marker, stained by Tau antibody [GT287] (GTX634809) diluted at 1:500.
Blue: Fluoroshield with DAPI (GTX30920).

3 / 5
Anti-CD90 antibody [HL1766] used in IHC (Paraffin sections) (IHC-P). GTX637416
GTX637416 IHC-P Image

CD90 antibody [HL1766] detects CD90 protein by immunohistochemical analysis.
Sample: Paraffin-embedded mouse eye.
Green: CD90 stained by CD90 antibody [HL1766] (GTX637416) diluted at 1:100.
Red: beta Tubulin 3/ Tuj1, a neural marker, stained by beta Tubulin 3/ Tuj1 antibody [GT11710] (GTX631836) diluted at 1:500.
Blue: Fluoroshield with DAPI (GTX30920).
Antigen Retrieval: Citrate buffer, pH 6.0, 15 min

4 / 5
Anti-CD90 antibody [HL1766] used in Western Blot (WB). GTX637416
GTX637416 WB Image

Various tissue extracts (50 μg) were separated by 15% SDS-PAGE, and the membrane was blotted with CD90 antibody [HL1766] (GTX637416) diluted at 1:1000. The HRP-conjugated anti-rabbit IgG antibody (GTX213110-01) was used to detect the primary antibody.

5 / 5
Anti-CD90 antibody [HL1766] used in IHC (Paraffin sections) (IHC-P). GTX637416
Anti-CD90 antibody [HL1766] used in Western Blot (WB). GTX637416
Anti-CD90 antibody [HL1766] used in Immunocytochemistry/ Immunofluorescence (ICC/IF). GTX637416
Anti-CD90 antibody [HL1766] used in IHC (Paraffin sections) (IHC-P). GTX637416
Anti-CD90 antibody [HL1766] used in Western Blot (WB). GTX637416
  • 宿主
    Rabbit
  • 克隆
    Monoclonal
  • 克隆编号
    HL1766
  • 同种型
    IgG
  • 实验应用
    WB ICC/IF IHC-P
  • 种属反应
    Human, Mouse, Rat
查看所有 CD90 的产品