CHSY2抗体

目录号 GTX87921
目录号  GTX87921
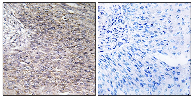
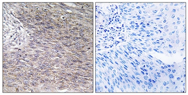
Anti-CHSY2 antibody used in IHC (Paraffin sections) (IHC-P). GTX87921
GTX87921 IHC-P Image

IHC-P analysis of human cervix carcinoma tissue using GTX87921 CHSY2 antibody. The picture on the right is blocked with the synthesized peptide.

1 / 3
Anti-CHSY2 antibody used in Immunocytochemistry/ Immunofluorescence (ICC/IF). GTX87921
GTX87921 ICC/IF Image

ICC/IF analysis of MCF7 cells using GTX87921 CHSY2 antibody. The picture on the right is blocked with the synthesized peptide.

2 / 3
Anti-CHSY2 antibody used in Western Blot (WB). GTX87921
GTX87921 WB Image

WB analysis of LOVO and K562 cell lysates using GTX87921 CHSY2 antibody. The lane on the right is blocked with the synthesized peptide.

3 / 3
Anti-CHSY2 antibody used in IHC (Paraffin sections) (IHC-P). GTX87921
Anti-CHSY2 antibody used in Immunocytochemistry/ Immunofluorescence (ICC/IF). GTX87921
Anti-CHSY2 antibody used in Western Blot (WB). GTX87921
  • 宿主
    Rabbit
  • 克隆
    Polyclonal
  • 同种型
    IgG
  • 实验应用
    WB ICC/IF IHC-P
  • 种属反应
    Human
查看所有 CHSY2 的产品