COBRA1抗体

目录号 GTX102043
目录号  GTX102043
Anti-COBRA1 antibody used in Immunocytochemistry/ Immunofluorescence (ICC/IF). GTX102043
GTX102043 ICC/IF Image

Immunofluorescence analysis of methanol-fixed H1299, using COBRA1(GTX102043) antibody at 1:500 dilution.

1 / 5
Anti-COBRA1 antibody used in IHC (Paraffin sections) (IHC-P). GTX102043
GTX102043 IHC-P Image

COBRA1 antibody detects COBRA1 protein at nucleus on HBL435 xenograft by immunohistochemical analysis.
Sample: Paraffin-embedded HBL435 xenograft.
COBRA1 antibody (GTX102043) dilution: 1:500.

Antigen Retrieval: Trilogy™ (EDTA based, pH 8.0) buffer, 15min

2 / 5
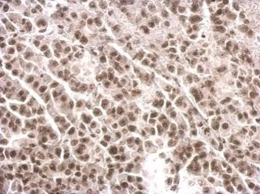
Anti-COBRA1 antibody used in IHC (Paraffin sections) (IHC-P). GTX102043
GTX102043 IHC-P Image

COBRA1 antibody detects COBRA1 protein at nucleus on human gastric cancer by immunohistochemical analysis.
Sample: Paraffin-embedded gastric cancer.
COBRA1 antibody (GTX102043) dilution: 1:500.

Antigen Retrieval: Trilogy™ (EDTA based, pH 8.0) buffer, 15min

3 / 5
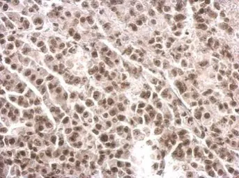
Anti-COBRA1 antibody used in IHC (Paraffin sections) (IHC-P). GTX102043
GTX102043 IHC-P Image

COBRA1 antibody detects COBRA1 protein at nucleus on mouse intestine by immunohistochemical analysis.
Sample: Paraffin-embedded mouse intestine.
COBRA1 antibody (GTX102043) dilution: 1:500.

Antigen Retrieval: Trilogy™ (EDTA based, pH 8.0) buffer, 15min

4 / 5
Anti-COBRA1 antibody used in Western Blot (WB). GTX102043
GTX102043 WB Image

Sample (30 ug of whole cell lysate)

A: H1299

5% SDS PAGE

GTX101827 diluted at 1:1000

5 / 5
Anti-COBRA1 antibody used in Immunocytochemistry/ Immunofluorescence (ICC/IF). GTX102043
Anti-COBRA1 antibody used in IHC (Paraffin sections) (IHC-P). GTX102043
Anti-COBRA1 antibody used in IHC (Paraffin sections) (IHC-P). GTX102043
Anti-COBRA1 antibody used in IHC (Paraffin sections) (IHC-P). GTX102043
Anti-COBRA1 antibody used in Western Blot (WB). GTX102043
  • 宿主
    Rabbit
  • 克隆
    Polyclonal
  • 同种型
    IgG
  • 实验应用
    WB ICC/IF IHC-P
  • 种属反应
    Human, Mouse
查看所有 COBRA1 的产品