CPT1A抗体 [C1C2], Internal

目录号 GTX114337
目录号  GTX114337
Anti-CPT1A antibody [C1C2], Internal used in Western Blot (WB). GTX114337
GTX114337 WB Image

Whole cell extract (30 μg) was separated by 7.5% SDS-PAGE, and the membrane was blotted with CPT1A antibody [C1C2], Internal (GTX114337) diluted at 1:1000. The HRP-conjugated anti-rabbit IgG antibody (GTX213110-01) was used to detect the primary antibody.

1 / 4
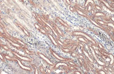
Anti-CPT1A antibody [C1C2], Internal used in IHC (Paraffin sections) (IHC-P). GTX114337
GTX114337 IHC-P Image

CPT1A antibody [C1C2], Internal detects CPT1A protein at mitochondria by immunohistochemical analysis.
Sample: Paraffin-embedded mouse kidney.
CPT1A stained by CPT1A antibody [C1C2], Internal (GTX114337) diluted at 1:500.
Antigen Retrieval: Citrate buffer, pH 6.0, 15 min

2 / 4
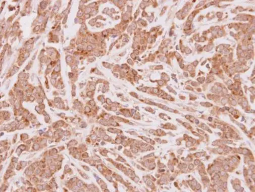
Anti-CPT1A antibody [C1C2], Internal used in IHC (Paraffin sections) (IHC-P). GTX114337
GTX114337 IHC-P Image

Immunohistochemical analysis of paraffin-embedded MDA-MB157 xenograft, using CPT1A(GTX114337) antibody at 1:250 dilution.
Antigen Retrieval: Trilogy™ (EDTA based, pH 8.0) buffer, 15min

3 / 4
Anti-CPT1A antibody [C1C2], Internal used in Western Blot (WB). GTX114337
GTX114337 WB Image

The data was published in the journal Cancer Metab in 2014. PMID: 25225614

4 / 4
Anti-CPT1A antibody [C1C2], Internal used in Western Blot (WB). GTX114337
Anti-CPT1A antibody [C1C2], Internal used in IHC (Paraffin sections) (IHC-P). GTX114337
Anti-CPT1A antibody [C1C2], Internal used in IHC (Paraffin sections) (IHC-P). GTX114337
Anti-CPT1A antibody [C1C2], Internal used in Western Blot (WB). GTX114337
  • 宿主
    Rabbit
  • 克隆
    Polyclonal
  • 同种型
    IgG
  • 实验应用
    WB IHC-P
  • 种属反应
    Human, Mouse
查看所有 CPT1A 的产品