CREB抗体

目录号 GTX112846
目录号  GTX112846
Anti-CREB antibody used in Western Blot (WB). GTX112846
GTX112846 WB Image

Non-transfected (–) and transfected (+) 293T whole cell extracts (50 μg) were separated by 10% SDS-PAGE, and the membrane was blotted with CREB antibody (GTX112846) diluted at 1:500. The HRP-conjugated anti-rabbit IgG antibody (GTX213110-01) was used to detect the primary antibody, and the signal was developed with Trident ECL plus-Enhanced.

1 / 12
Anti-CREB antibody used in Western Blot (WB). GTX112846
GTX112846 WB Image

Various whole cell extracts (30 μg) were separated by 10% SDS-PAGE, and the membranes were blotted with CREB antibody (GTX112846) diluted at 1:500 and competitor's antibody diluted at 1:500. The HRP-conjugated anti-rabbit IgG antibody (GTX213110-01) was used to detect the primary antibody.

*The competitor is not affiliated with GeneTex and does not endorse this product.

2 / 12
Anti-CREB antibody used in Western Blot (WB). GTX112846
GTX112846 WB Image

Jurkat whole cell and nuclear extracts (30 μg) were separated by 10% SDS-PAGE, and the membrane was blotted with CREB antibody (GTX112846) diluted at 1:1000.

3 / 12
Anti-CREB antibody used in IHC (Paraffin sections) (IHC-P). GTX112846
GTX112846 IHC-P Image

CREB antibody detects CREB protein at nucleus on mouse lung by immunohistochemical analysis.
Sample: Paraffin-embedded mouse lung.
CREB antibody (GTX112846) dilution: 1:500.

Antigen Retrieval: Trilogy™ (EDTA based, pH 8.0) buffer, 15min

4 / 12
Anti-CREB antibody used in IHC (Paraffin sections) (IHC-P). GTX112846
GTX112846 IHC-P Image

CREB antibody detects CREB protein at nucleus in rat testis by immunohistochemical analysis.
Sample: Paraffin-embedded rat testis.
CREB antibody (GTX112846) diluted at 1:500.

Antigen Retrieval: Citrate buffer, pH 6.0, 15 min

5 / 12
Anti-CREB antibody used in Immunocytochemistry/ Immunofluorescence (ICC/IF). GTX112846
GTX112846 ICC/IF Image

CREB antibody detects CREB protein at nucleus by immunofluorescent analysis.
Sample: HeLa cells were fixed in 4% paraformaldehyde at RT for 15 min.
Green: CREB protein stained by CREB antibody (GTX112846) diluted at 1:500.
Red: phalloidin, a cytoskeleton marker, diluted at 1:50.

6 / 12
Anti-CREB antibody used in IHC (Frozen sections) (IHC-Fr). GTX112846
GTX112846 IHC-Fr Image

CREB antibody detects CREB protein expression by immunohistochemical analysis.
Sample: Frozen sectioned adult mouse retina.
Green: CREB protein stained by CREB antibody (GTX112846) diluted at 1:250.
Red: beta Tubulin 3/ TUJ1, stained by beta Tubulin 3/ TUJ1 antibody [GT11710] (GTX631836) diluted at 1:250.
Blue: Fluoroshield with DAPI (GTX30920).

7 / 12
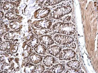
Anti-CREB antibody used in IHC (Paraffin sections) (IHC-P). GTX112846
GTX112846 IHC-P Image

CREB antibody detects CREB protein at nucleus on mouse colon by immunohistochemical analysis.
Sample: Paraffin-embedded mouse colon.
CREB antibody (GTX112846) dilution: 1:500.

Antigen Retrieval: Trilogy™ (EDTA based, pH 8.0) buffer, 15min

8 / 12
Anti-CREB antibody used in IHC (Paraffin sections) (IHC-P). GTX112846
GTX112846 IHC-P Image

CREB antibody detects CREB protein at nucleus on human breast carcinoma by immunohistochemical analysis.
Sample: Paraffin-embedded human breast carcinoma.
CREB antibody (GTX112846) dilution: 1:500.

Antigen Retrieval: Trilogy™ (EDTA based, pH 8.0) buffer, 15min

9 / 12
Anti-CREB antibody used in IHC (Paraffin sections) (IHC-P). GTX112846
GTX112846 IHC-P Image

CREB antibody detects CREB protein at nucleus in rat brain by immunohistochemical analysis.
Sample: Paraffin-embedded rat brain.
CREB antibody (GTX112846) diluted at 1:500.

Antigen Retrieval: Citrate buffer, pH 6.0, 15 min

10 / 12
Anti-CREB antibody used in Western Blot (WB). GTX112846
GTX112846 WB Image

Various whole cell extracts (30 μg) were separated by 10% SDS-PAGE, and the membrane was blotted with CREB antibody (GTX112846) diluted at 1:1000. The HRP-conjugated anti-rabbit IgG antibody (GTX213110-01) was used to detect the primary antibody.

11 / 12
Anti-CREB antibody used in Western Blot (WB). GTX112846
GTX112846 WB Image

Various whole cell extracts (30 μg) were separated by 10% SDS-PAGE, and the membrane was blotted with CREB antibody (GTX112846) diluted at 1:1000. The HRP-conjugated anti-rabbit IgG antibody (GTX213110-01) was used to detect the primary antibody.

12 / 12
Anti-CREB antibody used in Western Blot (WB). GTX112846
Anti-CREB antibody used in Western Blot (WB). GTX112846
Anti-CREB antibody used in Western Blot (WB). GTX112846
Anti-CREB antibody used in IHC (Paraffin sections) (IHC-P). GTX112846
Anti-CREB antibody used in IHC (Paraffin sections) (IHC-P). GTX112846
Anti-CREB antibody used in Immunocytochemistry/ Immunofluorescence (ICC/IF). GTX112846
Anti-CREB antibody used in IHC (Frozen sections) (IHC-Fr). GTX112846
Anti-CREB antibody used in IHC (Paraffin sections) (IHC-P). GTX112846
Anti-CREB antibody used in IHC (Paraffin sections) (IHC-P). GTX112846
Anti-CREB antibody used in IHC (Paraffin sections) (IHC-P). GTX112846
Anti-CREB antibody used in Western Blot (WB). GTX112846
Anti-CREB antibody used in Western Blot (WB). GTX112846
  • 宿主
    Rabbit
  • 克隆
    Polyclonal
  • 同种型
    IgG
  • 实验应用
    WB ICC/IF IHC-P IHC-Fr
  • 种属反应
    Human, Mouse, Rat
查看所有 CREB 的产品