CXCL10 / IP10抗体 [6D4]

目录号 GTX54425
目录号  GTX54425
Anti-CXCL10 / IP10 antibody [6D4] used in Flow cytometry (FCM). GTX54425
GTX54425 FCM Image

FACS analysis of LPS stimulated HUVEC cells using GTX54425 CXCL10 / IP10 antibody [6D4].
Black : Cell only control
Red : Isotype control
Blue : Primary antibody
Antibody amount : 1 μg / 2.5x10⁵ cells

1 / 2
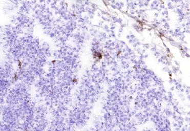
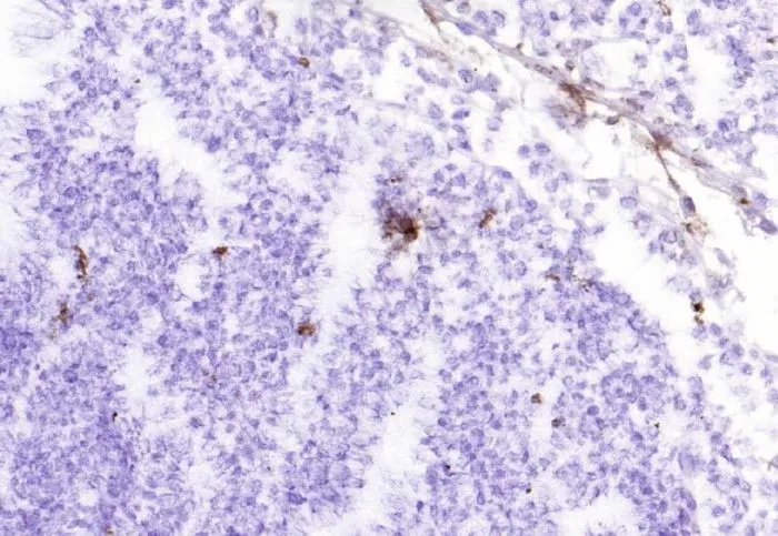
Anti-CXCL10 / IP10 antibody [6D4] used in IHC (Frozen sections) (IHC-Fr). GTX54425
GTX54425 IHC-Fr Image

IHC-Fr analysis of human tonsil tissue section using GTX54425 CXCL10 / IP10 antibody [6D4].

2 / 2
Anti-CXCL10 / IP10 antibody [6D4] used in Flow cytometry (FCM). GTX54425
Anti-CXCL10 / IP10 antibody [6D4] used in IHC (Frozen sections) (IHC-Fr). GTX54425
  • 宿主
    Mouse
  • 克隆
    Monoclonal
  • 克隆编号
    6D4
  • 同种型
    IgG2a
  • 实验应用
    WB ICC/IF IHC-Fr FCM ELISA
  • 种属反应
    Human
查看所有 CXCL10 / IP10 的产品