CXCR4抗体

目录号 GTX21670
目录号  GTX21670
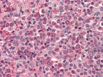
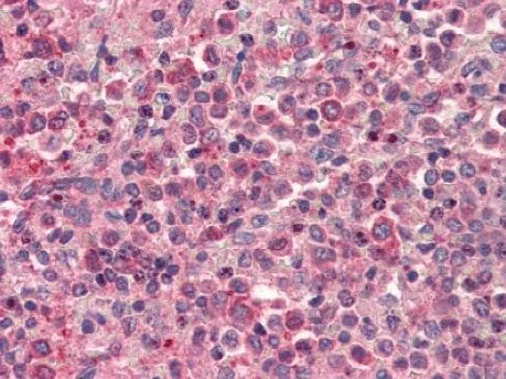
Anti-CXCR4 antibody used in Immunohistochemistry (IHC). GTX21670
GTX21670 IHC Image

IHC analysis of human spleen tissue using GTX21670 CXCR4 antibody.

1 / 1
Anti-CXCR4 antibody used in Immunohistochemistry (IHC). GTX21670
  • 宿主
    Goat
  • 克隆
    Polyclonal
  • 同种型
    IgG
  • 实验应用
    WB IHC-P ELISA IHC
  • 种属反应
    Human, Mouse
查看所有 CXCR4 的产品