Calpain 1抗体 [N3C2], Internal

目录号 GTX102340
目录号  GTX102340
Anti-Calpain 1 antibody [N3C2], Internal used in Immunocytochemistry/ Immunofluorescence (ICC/IF). GTX102340
GTX102340 ICC/IF Image

Immunofluorescence analysis of methanol-fixed A431, using Calpain 1(GTX102340) antibody at 1:200 dilution.

1 / 6
Anti-Calpain 1 antibody [N3C2], Internal used in IHC (Paraffin sections) (IHC-P). GTX102340
GTX102340 IHC-P Image

Immunohistochemical analysis of paraffin-embedded BT474 xenograft, using Calpain 1(GTX102340) antibody at 1:500 dilution.
Antigen Retrieval: Trilogy™ (EDTA based, pH 8.0) buffer, 15min

2 / 6
Anti-Calpain 1 antibody [N3C2], Internal used in Western Blot (WB). GTX102340
GTX102340 WB Image

Calpain 1 antibody detects Calpain 1 protein by western blot analysis. Various whole cell extracts (30 μg) were separated by 7.5% SDS-PAGE, and the membrane was blotted with Calpain 1 antibody (GTX102340) diluted at a dilution of 1:1000. The HRP-conjugated anti-rabbit IgG antibody (GTX213110-01) was used to detect the primary antibody.

3 / 6
Anti-Calpain 1 antibody [N3C2], Internal used in Immunoprecipitation (IP). GTX102340
GTX102340 IP Image

Immunoprecipitation of Calpain 1 protein from A431 whole cell extracts using 5 μg of Calpain 1 antibody [N3C2], Internal (GTX102340).
Western blot analysis was performed using Calpain 1 antibody [N3C2], Internal (GTX102340).
EasyBlot anti-Rabbit IgG (GTX221666-01) was used as a secondary reagent.

4 / 6
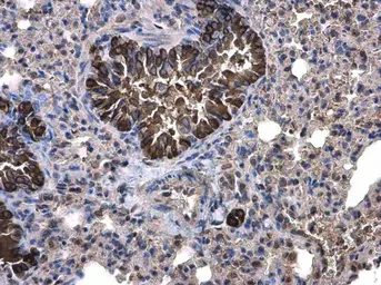
Anti-Calpain 1 antibody [N3C2], Internal used in IHC (Paraffin sections) (IHC-P). GTX102340
GTX102340 IHC-P Image

Calpain 1 antibody [N3C2], Internal detects Calpain 1 protein at cytoplasm on mouse lung by immunohistochemical analysis.
Sample: Paraffin-embedded mouse lung.
Calpain 1 antibody [N3C2], Internal (GTX102340) diluted at 1:500.

Antigen Retrieval: Trilogy™ (EDTA based, pH 8.0) buffer, 15min

5 / 6
Anti-Calpain 1 antibody [N3C2], Internal used in Western Blot (WB). GTX102340
GTX102340 WB Image

The data was published in the 2022 in Int J Mol Sci. PMID: 35163312

6 / 6
Anti-Calpain 1 antibody [N3C2], Internal used in Immunocytochemistry/ Immunofluorescence (ICC/IF). GTX102340
Anti-Calpain 1 antibody [N3C2], Internal used in IHC (Paraffin sections) (IHC-P). GTX102340
Anti-Calpain 1 antibody [N3C2], Internal used in Western Blot (WB). GTX102340
Anti-Calpain 1 antibody [N3C2], Internal used in Immunoprecipitation (IP). GTX102340
Anti-Calpain 1 antibody [N3C2], Internal used in IHC (Paraffin sections) (IHC-P). GTX102340
Anti-Calpain 1 antibody [N3C2], Internal used in Western Blot (WB). GTX102340
  • 宿主
    Rabbit
  • 克隆
    Polyclonal
  • 同种型
    IgG
  • 实验应用
    WB ICC/IF IHC-P IP
  • 种属反应
    Human, Mouse, Squirrel
查看所有 Calpain 1 的产品