Cardiac Troponin I抗体 [4A3]

目录号 GTX83501
目录号  GTX83501
Anti-Cardiac Troponin I antibody [4A3] used in IHC (Paraffin sections) (IHC-P). GTX83501
GTX83501 IHC-P Image

IHC-P analysis of ovary tissue using GTX83501 Cardiac Troponin I antibody [4A3].
Antigen retrieval : Heat-induced epitope retrieval by 10mM citrate buffer, pH6.0, 100ºC for 10min.
Dilution : 1:50

1 / 3
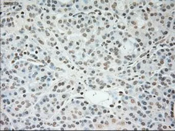
Anti-Cardiac Troponin I antibody [4A3] used in IHC (Paraffin sections) (IHC-P). GTX83501
GTX83501 IHC-P Image

IHC-P analysis of pancreas tissue using GTX83501 Cardiac Troponin I antibody [4A3].
Antigen retrieval : Heat-induced epitope retrieval by 10mM citrate buffer, pH6.0, 100ºC for 10min.
Dilution : 1:50

2 / 3
Anti-Cardiac Troponin I antibody [4A3] used in Western Blot (WB). GTX83501
GTX83501 WB Image

WB analysis of HEK293T cells transfected with Cardiac Troponin I plasmid (Right) or empty vector (Left) for 48 hrs using GTX83501 Cardiac Troponin I antibody [4A3].
Loading : 5 ug per lane

3 / 3
Anti-Cardiac Troponin I antibody [4A3] used in IHC (Paraffin sections) (IHC-P). GTX83501
Anti-Cardiac Troponin I antibody [4A3] used in IHC (Paraffin sections) (IHC-P). GTX83501
Anti-Cardiac Troponin I antibody [4A3] used in Western Blot (WB). GTX83501
  • 宿主
    Mouse
  • 克隆
    Monoclonal
  • 克隆编号
    4A3
  • 同种型
    IgG1
  • 实验应用
    WB IHC-P
  • 种属反应
    Human
查看所有 Cardiac Troponin I 的产品