Caspase 1 p10 subunit抗体

目录号 GTX134551
目录号  GTX134551
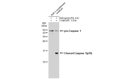
Anti-Caspase 1 p10 subunit antibody used in Western Blot (WB). GTX134551
GTX134551 WB Image

Untreated (–) and treated (+) THP-1 conditioned medium (30 μg) were separated by 15% SDS-PAGE, and the membrane was blotted with Caspase 1 p10 subunit antibody (GTX134551) diluted at 1:500. The HRP-conjugated anti-rabbit IgG antibody (GTX213110-01) was used to detect the primary antibody.

1 / 5
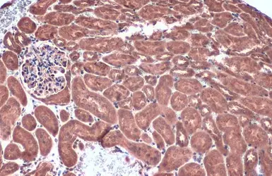
Anti-Caspase 1 p10 subunit antibody used in IHC (Paraffin sections) (IHC-P). GTX134551
GTX134551 IHC-P Image

Caspase 1 p10 subunit antibody detects Caspase 1 p10 subunit protein at cytoplasm by immunohistochemical analysis.
Sample: Paraffin-embedded rat kidney.
Caspase 1 p10 subunit stained by Caspase 1 p10 subunit antibody (GTX134551) diluted at 1:1000.
Antigen Retrieval: Citrate buffer, pH 6.0, 15 min

2 / 5
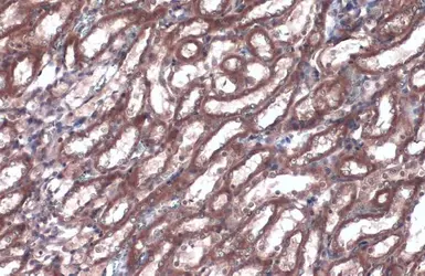
Anti-Caspase 1 p10 subunit antibody used in IHC (Paraffin sections) (IHC-P). GTX134551
GTX134551 IHC-P Image

Caspase 1 p10 subunit antibody detects Caspase 1 p10 subunit protein at cytoplasm by immunohistochemical analysis.
Sample: Paraffin-embedded mouse kidney.
Caspase 1 p10 subunit stained by Caspase 1 p10 subunit antibody (GTX134551) diluted at 1:1000.
Antigen Retrieval: Citrate buffer, pH 6.0, 15 min

3 / 5
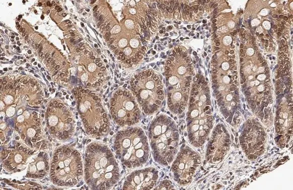
Anti-Caspase 1 p10 subunit antibody used in IHC (Paraffin sections) (IHC-P). GTX134551
GTX134551 IHC-P Image

Caspase 1 p10 subunit antibody detects Caspase 1 p10 subunit protein at cell membrane and cytoplasm by immunohistochemical analysis.
Sample: Paraffin-embedded rat duodenum.
Caspase 1 p10 subunit stained by Caspase 1 p10 subunit antibody (GTX134551) diluted at 1:500.
Antigen Retrieval: Citrate buffer, pH 6.0, 15 min

4 / 5
Anti-Caspase 1 p10 subunit antibody used in IHC (Paraffin sections) (IHC-P). GTX134551
GTX134551 IHC-P Image

Caspase 1 p10 subunit antibody detects Caspase 1 p10 subunit protein by immunohistochemical analysis.
Sample: Paraffin-embedded mouse tissues.
Caspase 1 p10 subunit stained by Caspase 1 p10 subunit antibody (GTX134551) diluted at 1:500.
Antigen Retrieval: Citrate buffer, pH 6.0, 15 min

5 / 5
Anti-Caspase 1 p10 subunit antibody used in Western Blot (WB). GTX134551
Anti-Caspase 1 p10 subunit antibody used in IHC (Paraffin sections) (IHC-P). GTX134551
Anti-Caspase 1 p10 subunit antibody used in IHC (Paraffin sections) (IHC-P). GTX134551
Anti-Caspase 1 p10 subunit antibody used in IHC (Paraffin sections) (IHC-P). GTX134551
Anti-Caspase 1 p10 subunit antibody used in IHC (Paraffin sections) (IHC-P). GTX134551
  • 宿主
    Rabbit
  • 克隆
    Polyclonal
  • 同种型
    IgG
  • 实验应用
    WB IHC-P
  • 种属反应
    Human, Mouse, Rat
查看所有 Caspase 1 的产品