Caspase 3抗体 [HL1370]

目录号 GTX636810
目录号  GTX636810
Anti-Caspase 3 antibody [HL1370] used in Western Blot (WB). GTX636810
GTX636810 WB Image

Untreated (–) and treated (+) Rat2 whole cell extracts (30 μg) were separated by 15% SDS-PAGE, and the membrane was blotted with Caspase 3 antibody [HL1370] (GTX636810) diluted at 1:500. The HRP-conjugated anti-rabbit IgG antibody (GTX213110-01) was used to detect the primary antibody, and the signal was developed with Trident ECL plus-Enhanced.

1 / 5
Anti-Caspase 3 antibody [HL1370] used in Western Blot (WB). GTX636810
GTX636810 WB Image

Wild-type (WT) and Caspase 3 knockout (KO) HeLa cell extracts (30 μg) were separated by 15% SDS-PAGE, and the membrane was blotted with Caspase 3 antibody [HL1370] (GTX636810) diluted at 1:1000. The HRP-conjugated anti-rabbit IgG antibody (GTX213110-01) was used to detect the primary antibody.

2 / 5
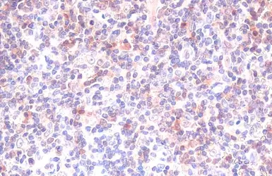
Anti-Caspase 3 antibody [HL1370] used in IHC (Paraffin sections) (IHC-P). GTX636810
GTX636810 IHC-P Image

Caspase 3 antibody [HL1370] detects Caspase 3 protein by immunohistochemical analysis.
Sample: Paraffin-embedded human tonsil.
Caspase 3 stained by Caspase 3 antibody [HL1370] (GTX636810) diluted at 1:500.
Antigen Retrieval: Citrate buffer, pH 6.0, 15 min

3 / 5
Anti-Caspase 3 antibody [HL1370] used in Western Blot (WB). GTX636810
GTX636810 WB Image

Untreated (–) and treated (+) HeLa whole cell extracts (30 μg) were separated by 15% SDS-PAGE, and the membrane was blotted with Caspase 3 antibody [HL1370] (GTX636810) diluted at 1:1000. The HRP-conjugated anti-rabbit IgG antibody (GTX213110-01) was used to detect the primary antibody.

4 / 5
Anti-Caspase 3 antibody [HL1370] used in Western Blot (WB). GTX636810
GTX636810 WB Image

Whole cell extract (30 μg) was separated by 15% SDS-PAGE, and the membrane was blotted with Caspase 3 (cleaved Asp175) antibody [HL1370] (GTX636810) diluted at 1:1000. The HRP-conjugated anti-rabbit IgG antibody (GTX213110-01) was used to detect the primary antibody.

5 / 5
Anti-Caspase 3 antibody [HL1370] used in Western Blot (WB). GTX636810
Anti-Caspase 3 antibody [HL1370] used in Western Blot (WB). GTX636810
Anti-Caspase 3 antibody [HL1370] used in IHC (Paraffin sections) (IHC-P). GTX636810
Anti-Caspase 3 antibody [HL1370] used in Western Blot (WB). GTX636810
Anti-Caspase 3 antibody [HL1370] used in Western Blot (WB). GTX636810
  • 宿主
    Rabbit
  • 克隆
    Monoclonal
  • 克隆编号
    HL1370
  • 同种型
    IgG
  • 实验应用
    WB IHC-P
  • 种属反应
    Human, Rat
查看所有 Caspase 3 的产品