Caspase 3 (cleaved Asp175)抗体

目录号 GTX03281
目录号  GTX03281
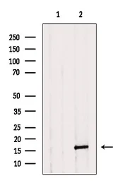
Anti-Caspase 3 (cleaved Asp175) antibody used in Western Blot (WB). GTX03281
GTX03281 WB Image

WB analysis of 293T lysate using GTX03281 Caspase 3 (cleaved Asp175) antibody. The lane on the left was treated with blocking peptide.

1 / 5
Anti-Caspase 3 (cleaved Asp175) antibody used in IHC (Paraffin sections) (IHC-P). GTX03281
GTX03281 IHC-P Image

IHC-P analysis of mouse brain tissue using GTX03281 Caspase 3 (cleaved Asp175) antibody.
Antigen retrieval : Heat mediated antigen retrieval step in citrate buffer was performed.
Dilution : 1:100

2 / 5
Anti-Caspase 3 (cleaved Asp175) antibody used in Immunocytochemistry/ Immunofluorescence (ICC/IF). GTX03281
GTX03281 ICC/IF Image

ICC/IF analysis of PFA-fixed HeLa cells using GTX03281 Caspase 3 (cleaved Asp175) antibody.
Red : Primary antibody
Green : beta tubulin
Blue : DAPI
Permeabilization : 0.1% Triton X-100
Dilution : 1:200

3 / 5
Anti-Caspase 3 (cleaved Asp175) antibody used in Western Blot (WB). GTX03281
GTX03281 WB Image

WB analysis of various sample lysates using GTX03281 Caspase 3 (cleaved Asp175) antibody.
Lane 1 : HeLa treated with blocking peptide
Lane 2 : HeLa (etoposide treated, 25μM 5h)
Lane 3 : MCF7 (etoposide treated, 25μM 5h)
Lane 4 : Mouse heart tissue lysate
Lane 5 : Mouse spleen tissue lysate

4 / 5
Anti-Caspase 3 (cleaved Asp175) antibody used in IHC (Paraffin sections) (IHC-P). GTX03281
GTX03281 IHC-P Image

IHC-P analysis of human ehrlich carcimoma tissue using GTX03281 Caspase 3 (cleaved Asp175) antibody.
Antigen retrieval : Heat mediated antigen retrieval step in citrate buffer was performed.
Dilution : 1:100

5 / 5
Anti-Caspase 3 (cleaved Asp175) antibody used in Western Blot (WB). GTX03281
Anti-Caspase 3 (cleaved Asp175) antibody used in IHC (Paraffin sections) (IHC-P). GTX03281
Anti-Caspase 3 (cleaved Asp175) antibody used in Immunocytochemistry/ Immunofluorescence (ICC/IF). GTX03281
Anti-Caspase 3 (cleaved Asp175) antibody used in Western Blot (WB). GTX03281
Anti-Caspase 3 (cleaved Asp175) antibody used in IHC (Paraffin sections) (IHC-P). GTX03281
  • 宿主
    Rabbit
  • 克隆
    Polyclonal
  • 同种型
    IgG
  • 实验应用
    WB ICC/IF IHC-P
  • 种属反应
    Human, Mouse
查看所有 Caspase 3 的产品