Caspase 3 (cleaved Asp175)抗体

目录号 GTX86952
目录号  GTX86952
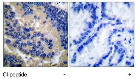
Anti-Caspase 3 (cleaved Asp175) antibody used in IHC (Paraffin sections) (IHC-P). GTX86952
GTX86952 IHC-P Image

IHC-P analysis of human lung carcinoma tissue using GTX86952 Caspase 3 (cleaved Asp175) antibody.

1 / 3
Anti-Caspase 3 (cleaved Asp175) antibody used in Western Blot (WB). GTX86952
GTX86952 WB Image

WB analysis of 293 cells treated with Etoposide (25uM, 60mins) lysate using GTX86952 Caspase 3 (cleaved Asp175) antibody.

2 / 3
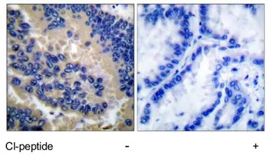
Anti-Caspase 3 (cleaved Asp175) antibody used in Immunohistochemistry (IHC). GTX86952
GTX86952 IHC Image

The data was published in the journal Sci Rep in 2019. PMID: 31366973

3 / 3
Anti-Caspase 3 (cleaved Asp175) antibody used in IHC (Paraffin sections) (IHC-P). GTX86952
Anti-Caspase 3 (cleaved Asp175) antibody used in Western Blot (WB). GTX86952
Anti-Caspase 3 (cleaved Asp175) antibody used in Immunohistochemistry (IHC). GTX86952
  • 宿主
    Rabbit
  • 克隆
    Polyclonal
  • 同种型
    IgG
  • 实验应用
    WB IHC-P IHC
  • 种属反应
    Human, Mouse, Rat
查看所有 Caspase 3 的产品