Cav beta 4抗体 [C3], C-term

目录号 GTX100202
目录号  GTX100202
Anti-Cav beta 4 antibody [C3], C-term used in IHC (Frozen sections) (IHC-Fr). GTX100202
GTX100202 IHC-Fr Image

Cav beta 4 antibody [C3], C-term detects Cav beta 4 protein expression by immunohistochemical analysis.
Sample: Frozen-sectioned adult mouse cerebellum.
Green: Cav beta 4 protein stained by Cav beta 4 antibody [C3], C-term (GTX100202) diluted at 1:250.
Blue: Fluoroshield with DAPI (GTX30920).

1 / 5
Anti-Cav beta 4 antibody [C3], C-term used in Western Blot (WB). GTX100202
GTX100202 WB Image

Sample (50 ug of whole cell lysate)
A: mouse cerebellum
7.5% SDS PAGE
GTX100202 diluted at 1:1000

2 / 5
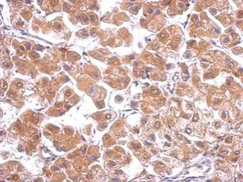
Anti-Cav beta 4 antibody [C3], C-term used in IHC (Paraffin sections) (IHC-P). GTX100202
GTX100202 IHC-P Image

Immunohistochemical analysis of paraffin-embedded human hepatoma, using CACNB4(GTX100202) antibody at 1:500 dilution.
Antigen Retrieval: Trilogy™ (EDTA based, pH 8.0) buffer, 15min

3 / 5
Anti-Cav beta 4 antibody [C3], C-term used in Western Blot (WB). GTX100202
GTX100202 WB Image

Sample (30 ug of whole cell lysate)
A: 293T
B: HepG2
C: A375
7.5% SDS PAGE
GTX100202 diluted at 1:5000

4 / 5
Anti-Cav beta 4 antibody [C3], C-term used in Immunocytochemistry/ Immunofluorescence (ICC/IF). GTX100202
GTX100202 ICC/IF Image

CACNB4 antibody [C3], C-term detects CACNB4 protein at cytoplasm by immunofluorescent analysis.
Sample: HeLa cells were fixed in 4% paraformaldehyde at RT for 15 min.
Green: CACNB4 protein stained by CACNB4 antibody [C3], C-term (GTX100202) diluted at 1:500.
Blue: Hoechst 33342 staining.

5 / 5
Anti-Cav beta 4 antibody [C3], C-term used in IHC (Frozen sections) (IHC-Fr). GTX100202
Anti-Cav beta 4 antibody [C3], C-term used in Western Blot (WB). GTX100202
Anti-Cav beta 4 antibody [C3], C-term used in IHC (Paraffin sections) (IHC-P). GTX100202
Anti-Cav beta 4 antibody [C3], C-term used in Western Blot (WB). GTX100202
Anti-Cav beta 4 antibody [C3], C-term used in Immunocytochemistry/ Immunofluorescence (ICC/IF). GTX100202
  • 宿主
    Rabbit
  • 克隆
    Polyclonal
  • 同种型
    IgG
  • 实验应用
    WB ICC/IF IHC-P IHC-Fr
  • 种属反应
    Human, Mouse
查看所有 Cav beta 4 的产品