Clathrin Heavy chain抗体

目录号 GTX65878
目录号  GTX65878
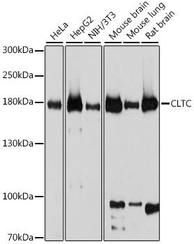
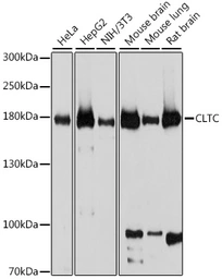
Anti-Clathrin Heavy chain antibody used in Western Blot (WB). GTX65878
GTX65878 WB Image

WB analysis of various sample lysates using GTX65878 Clathrin Heavy chain antibody.
Dilution : 1:1000
Loading : 25μg per lane

1 / 2
Anti-Clathrin Heavy chain antibody used in Immunocytochemistry/ Immunofluorescence (ICC/IF). GTX65878
GTX65878 ICC/IF Image

ICC/IF analysis of HeLa cells using GTX65878 Clathrin Heavy chain antibody.
Blue : DAPI
Dilution : 1:100

2 / 2
Anti-Clathrin Heavy chain antibody used in Western Blot (WB). GTX65878
Anti-Clathrin Heavy chain antibody used in Immunocytochemistry/ Immunofluorescence (ICC/IF). GTX65878
  • 宿主
    Rabbit
  • 克隆
    Polyclonal
  • 同种型
    IgG
  • 实验应用
    WB ICC/IF
  • 种属反应
    Human, Mouse, Rat
查看所有 Clathrin Heavy chain 的产品