Cyclophilin A抗体 [C1C3]

目录号 GTX104698
目录号  GTX104698
Anti-Cyclophilin A antibody [C1C3] used in Western Blot (WB). GTX104698
GTX104698 WB Image

Non-transfected (–) and transfected (+) 293T whole cell extracts (30 μg) were separated by 15% SDS-PAGE, and the membrane was blotted with Cyclophilin A antibody [C1C3] (GTX104698) diluted at 1:20000. The HRP-conjugated anti-rabbit IgG antibody (GTX213110-01) was used to detect the primary antibody.

1 / 7
Anti-Cyclophilin A antibody [C1C3] used in Western Blot (WB). GTX104698
GTX104698 WB Image

Cyclophilin A antibody detects Cyclophilin A protein by western blot analysis. Raji whole cell extracts and cytoplasma+membrane and nuclear extracts (30 μg) were separated by 12% SDS-PAGE, and the membrane was blotted with Cyclophilin A antibody (GTX104698) at a dilution of 1:5000. The HRP-conjugated anti-rabbit IgG antibody (GTX213110-01) was used to detect the primary antibody.

2 / 7
Anti-Cyclophilin A antibody [C1C3] used in Western Blot (WB). GTX104698
GTX104698 WB Image

Cyclophilin A antibody detects Cyclophilin A protein by Western blot analysis. Mouse tissue extracts (50 μg) was separated by 15 % SDS-PAGE, and the membrane was blotted with Cyclophilin A antibody (GTX104698) at a dilution of 1:20000.

3 / 7
Anti-Cyclophilin A antibody [C1C3] used in Immunocytochemistry/ Immunofluorescence (ICC/IF). GTX104698
GTX104698 ICC/IF Image

Immunofluorescence analysis of methanol-fixed HeLa, using Cyclophilin A(GTX104698) antibody at 1:200 dilution.

4 / 7
Anti-Cyclophilin A antibody [C1C3] used in Western Blot (WB). GTX104698
GTX104698 WB Image

Various whole cell extracts (30 μg) were separated by 15% SDS-PAGE, and the membrane was blotted with Cyclophilin A antibody [C1C3] (GTX104698) diluted at 1:10000. The HRP-conjugated anti-rabbit IgG antibody (GTX213110-01) was used to detect the primary antibody.

5 / 7
Anti-Cyclophilin A antibody [C1C3] used in Western Blot (WB). GTX104698
GTX104698 WB Image

Sample (30 ug of whole cell lysate)
A: Hep G2
12% SDS PAGE
GTX104698 diluted at 1:3000

6 / 7
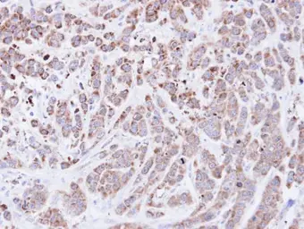
Anti-Cyclophilin A antibody [C1C3] used in IHC (Paraffin sections) (IHC-P). GTX104698
GTX104698 IHC-P Image

Immunohistochemical analysis of paraffin-embedded MDA-MB-468 xenograft, using Cyclophilin A(GTX104698) antibody at 1:500 dilution.
Antigen Retrieval: Trilogy™ (EDTA based, pH 8.0) buffer, 15min

7 / 7
Anti-Cyclophilin A antibody [C1C3] used in Western Blot (WB). GTX104698
Anti-Cyclophilin A antibody [C1C3] used in Western Blot (WB). GTX104698
Anti-Cyclophilin A antibody [C1C3] used in Western Blot (WB). GTX104698
Anti-Cyclophilin A antibody [C1C3] used in Immunocytochemistry/ Immunofluorescence (ICC/IF). GTX104698
Anti-Cyclophilin A antibody [C1C3] used in Western Blot (WB). GTX104698
Anti-Cyclophilin A antibody [C1C3] used in Western Blot (WB). GTX104698
Anti-Cyclophilin A antibody [C1C3] used in IHC (Paraffin sections) (IHC-P). GTX104698
  • 宿主
    Rabbit
  • 克隆
    Polyclonal
  • 同种型
    IgG
  • 实验应用
    WB ICC/IF IHC-P
  • 种属反应
    Human, Mouse, Rat, Hamster
查看所有 Cyclophilin A 的产品