Cytokeratin 19抗体

目录号 GTX134696
目录号  GTX134696
Anti-Cytokeratin 19 antibody used in Western Blot (WB). GTX134696
GTX134696 WB Image

Various whole cell extracts (30 μg) were separated by 10% SDS-PAGE, and the membrane was blotted with Cytokeratin 19 antibody (GTX134696) diluted at 1:10000. The HRP-conjugated anti-rabbit IgG antibody (GTX213110-01) was used to detect the primary antibody. Corresponding RNA expression data for the same cell lines are based on Human Protein Atlas program.

1 / 4
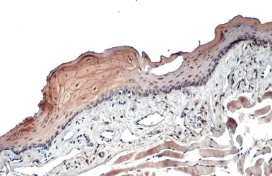
Anti-Cytokeratin 19 antibody used in IHC (Paraffin sections) (IHC-P). GTX134696
GTX134696 IHC-P Image

Cytokeratin 19 antibody detects Cytokeratin 19 protein at cell membrane by immunohistochemical analysis.
Sample: Paraffin-embedded mouse tongue.
Cytokeratin 19 stained by Cytokeratin 19 antibody (GTX134696) diluted at 1:500.
Antigen Retrieval: Citrate buffer, pH 6.0, 15 min

2 / 4
Anti-Cytokeratin 19 antibody used in Western Blot (WB). GTX134696
GTX134696 WB Image

Various whole cell extracts (30 μg) were separated by 10% SDS-PAGE, and the membrane was blotted with Cytokeratin 19 antibody (GTX134696) diluted at 1:10000. The HRP-conjugated anti-rabbit IgG antibody (GTX213110-01) was used to detect the primary antibody. Corresponding RNA expression data for the same cell lines are based on Human Protein Atlas program.

3 / 4
Anti-Cytokeratin 19 antibody used in Immunocytochemistry/ Immunofluorescence (ICC/IF). GTX134696
GTX134696 ICC/IF Image

Cytokeratin 19 antibody detects Cytokeratin 19 protein at cytoskeleton by immunofluorescent analysis.
Sample: HepG2 cells were fixed in 4% paraformaldehyde at RT for 15 min.
Green: Cytokeratin 19 stained by Cytokeratin 19 antibody (GTX134696) diluted at 1:500.
Blue: Fluoroshield with DAPI (GTX30920).
Scale bar= 10μm.

4 / 4
Anti-Cytokeratin 19 antibody used in Western Blot (WB). GTX134696
Anti-Cytokeratin 19 antibody used in IHC (Paraffin sections) (IHC-P). GTX134696
Anti-Cytokeratin 19 antibody used in Western Blot (WB). GTX134696
Anti-Cytokeratin 19 antibody used in Immunocytochemistry/ Immunofluorescence (ICC/IF). GTX134696
  • 宿主
    Rabbit
  • 克隆
    Polyclonal
  • 同种型
    IgG
  • 实验应用
    WB ICC/IF IHC-P
  • 种属反应
    Human, Mouse
查看所有 Cytokeratin 19 的产品