DDR2抗体 [HL1107]

目录号 GTX636322
目录号  GTX636322
Anti-DDR2 antibody [HL1107] used in Western Blot (WB). GTX636322
GTX636322 WB Image

Various whole cell extracts (30 μg) were separated by 7.5% SDS-PAGE, and the membrane was blotted with DDR2 antibody [HL1107] (GTX636322) diluted at 1:1000. The HRP-conjugated anti-rabbit IgG antibody (GTX213110-01) was used to detect the primary antibody.

1 / 7
Anti-DDR2 antibody [HL1107] used in IHC (Paraffin sections) (IHC-P). GTX636322
GTX636322 IHC-P Image

DDR2 antibody [HL1107] detects DDR2 protein by immunohistochemical analysis.
Sample: Paraffin-embedded mouse tissues.
DDR2 stained by DDR2 antibody [HL1107] (GTX636322) diluted at 1:16000.
Antigen Retrieval: Tris-EDTA buffer, pH 9.0, 15 min

2 / 7
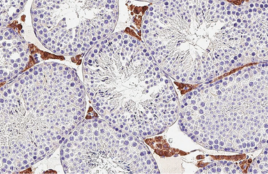
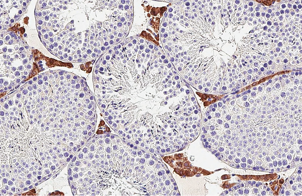
Anti-DDR2 antibody [HL1107] used in IHC (Paraffin sections) (IHC-P). GTX636322
GTX636322 IHC-P Image

DDR2 antibody [HL1107] detects DDR2 protein by immunohistochemical analysis.
Sample: Paraffin-embedded mouse testis.
DDR2 stained by DDR2 antibody [HL1107] (GTX636322) diluted at 1:16000.
Antigen Retrieval: Tris-EDTA buffer, pH 9.0, 15 min

3 / 7
Anti-DDR2 antibody [HL1107] used in IHC (Paraffin sections) (IHC-P). GTX636322
GTX636322 IHC-P Image

DDR2 antibody [HL1107] detects DDR2 protein by immunohistochemical analysis.
Sample: Paraffin-embedded mouse tissues.
DDR2 stained by DDR2 antibody [HL1107] (GTX636322) diluted at 1:16000.
Antigen Retrieval: Tris-EDTA buffer, pH 9.0, 15 min

4 / 7
Anti-DDR2 antibody [HL1107] used in Western Blot (WB). GTX636322
GTX636322 WB Image

U87-MG whole cell and membrane extracts (5 μg) were separated by 5% SDS-PAGE, and the membrane was blotted with DDR2 antibody [HL1107] (GTX636322) diluted at 1:10000. The HRP-conjugated anti-rabbit IgG antibody (GTX213110-01) was used to detect the primary antibody.

5 / 7
Anti-DDR2 antibody [HL1107] used in Western Blot (WB). GTX636322
GTX636322 WB Image

Various tissue extracts (50 μg) were separated by 7.5% SDS-PAGE, and the membrane was blotted with DDR2 antibody [HL1107] (GTX636322) diluted at 1:1000. The HRP-conjugated anti-rabbit IgG antibody (GTX213110-01) was used to detect the primary antibody.

6 / 7
Anti-DDR2 antibody [HL1107] used in Western Blot (WB). GTX636322
GTX636322 WB Image

Non-transfected (–) and transfected (+) 293T whole cell extracts (30 μg) were separated by 7.5% SDS-PAGE, and the membrane was blotted with DDR2 antibody [HL1107] (GTX636322) diluted at 1:500000. The HRP-conjugated anti-rabbit IgG antibody (GTX213110-01) was used to detect the primary antibody.

7 / 7
Anti-DDR2 antibody [HL1107] used in Western Blot (WB). GTX636322
Anti-DDR2 antibody [HL1107] used in IHC (Paraffin sections) (IHC-P). GTX636322
Anti-DDR2 antibody [HL1107] used in IHC (Paraffin sections) (IHC-P). GTX636322
Anti-DDR2 antibody [HL1107] used in IHC (Paraffin sections) (IHC-P). GTX636322
Anti-DDR2 antibody [HL1107] used in Western Blot (WB). GTX636322
Anti-DDR2 antibody [HL1107] used in Western Blot (WB). GTX636322
Anti-DDR2 antibody [HL1107] used in Western Blot (WB). GTX636322
  • 宿主
    Rabbit
  • 克隆
    Monoclonal
  • 克隆编号
    HL1107
  • 同种型
    IgG
  • 实验应用
    WB IHC-P
  • 种属反应
    Human, Mouse, Rat
查看所有 DDR2 的产品