EDA抗体

目录号 GTX04731
目录号  GTX04731
Anti-EDA antibody used in Western Blot (WB). GTX04731
GTX04731 WB Image

WB analysis of mouse placenta tissue lysate using GTX04731 EDA antibody.
Dilution : 1:300

1 / 2
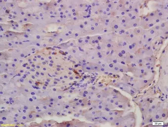
Anti-EDA antibody used in IHC (Paraffin sections) (IHC-P). GTX04731
GTX04731 IHC-P Image

IHC-P analysis of rat placenta tissue using GTX04731 EDA antibody.
Dilution : 1:200

2 / 2
Anti-EDA antibody used in Western Blot (WB). GTX04731
Anti-EDA antibody used in IHC (Paraffin sections) (IHC-P). GTX04731
  • 宿主
    Rabbit
  • 克隆
    Polyclonal
  • 同种型
    IgG
  • 实验应用
    WB IHC-P
  • 种属反应
    Mouse, Rat
查看所有 EDA 的产品