EDIL3抗体

目录号 GTX104086
目录号  GTX104086
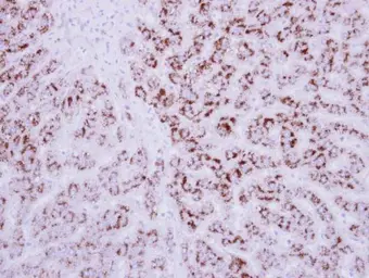
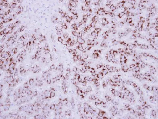
Anti-EDIL3 antibody used in IHC (Paraffin sections) (IHC-P). GTX104086
GTX104086 IHC-P Image

Immunohistochemical analysis of paraffin-embedded human breast cancer, using EDIL3(GTX104086) antibody at 1:250 dilution.
Antigen Retrieval: Trilogy™ (EDTA based, pH 8.0) buffer, 15min

1 / 4
Anti-EDIL3 antibody used in Western Blot (WB). GTX104086
GTX104086 WB Image

Sample (50 μg of whole cell lysate)
A: Mouse brain
10% SDS PAGE
GTX104086 diluted at 1:1000
The HRP-conjugated anti-rabbit IgG antibody (GTX213110-01) was used to detect the primary antibody.

2 / 4
Anti-EDIL3 antibody used in Western Blot (WB). GTX104086
GTX104086 WB Image

Non-transfected (–) and transfected (+) 293T whole cell extracts (30 μg) were separated by 10% SDS-PAGE, and the membrane was blotted with EDIL3 antibody (GTX104086) diluted at 1:10000. The HRP-conjugated anti-rabbit IgG antibody (GTX213110-01) was used to detect the primary antibody.

3 / 4
Anti-EDIL3 antibody used in Western Blot (WB). GTX104086
GTX104086 WB Image

U87-MG whole cell extract and conditioned medium (30 μg) were separated by 10% SDS-PAGE, and the membrane was blotted with EDIL3 antibody (GTX104086) diluted at 1:1000. The HRP-conjugated anti-rabbit IgG antibody (GTX213110-01) was used to detect the primary antibody.

4 / 4
Anti-EDIL3 antibody used in IHC (Paraffin sections) (IHC-P). GTX104086
Anti-EDIL3 antibody used in Western Blot (WB). GTX104086
Anti-EDIL3 antibody used in Western Blot (WB). GTX104086
Anti-EDIL3 antibody used in Western Blot (WB). GTX104086
  • 宿主
    Rabbit
  • 克隆
    Polyclonal
  • 同种型
    IgG
  • 实验应用
    WB IHC-P
  • 种属反应
    Human, Mouse
查看所有 EDIL3 的产品