EGFR抗体 [GT133]

目录号 GTX628887
目录号  GTX628887
Anti-EGFR antibody [GT133] used in Western Blot (WB). GTX628887
GTX628887 WB Image

Non-transfected (–) and transfected (+) A431 whole cell extracts (15 μg) were separated by 5% SDS-PAGE, and the membrane was blotted with EGFR antibody [GT133] (GTX628887) diluted at 1:8000. The HRP-conjugated anti-mouse IgG antibody (GTX213111-01) was used to detect the primary antibody.

1 / 10
Anti-EGFR antibody [GT133] used in Western Blot (WB). GTX628887
GTX628887 WB Image

Various whole cell extracts (30 μg) were separated by 5% SDS-PAGE, and the membranes were blotted with EGFR antibody [GT133] (GTX628887) diluted at 1:5000 and competitor's antibody diluted at 1:5000. The HRP-conjugated anti-mouse IgG antibody (GTX213111-01) was used to detect the primary antibody. Corresponding RNA expression data for the same cell lines are based on Human Protein Atlas program.

*The competitor is not affiliated with GeneTex and does not endorse this product.

2 / 10
Anti-EGFR antibody [GT133] used in Western Blot (WB). GTX628887
GTX628887 WB Image

Non-transfected (–) and transfected (+) 293T whole cell extracts were separated by 5% SDS-PAGE, and the membrane was blotted with EGFR antibody [GT133] (GTX628887) diluted at 1:1000. The HRP-conjugated anti-mouse IgG antibody (GTX213111-01) was used to detect the primary antibody.

3 / 10
Anti-EGFR antibody [GT133] used in Immunoprecipitation (IP). GTX628887
GTX628887 IP Image

EGFR antibody [GT133] immunoprecipitates EGFR protein in IP experiments.
IP samples: A431 whole cell extract
A. 40 μg A431 whole cell extract
B. Control with 4 μg of preimmune Mouse IgG
C. Immunoprecipitation of EGFR protein by 4 μg EGFR antibody [GT133] (GTX628887)
5 % SDS-PAGE
The immunoprecipitated EGFR protein was detected by EGFR antibody [GT133] (GTX628887) diluted at 1:5000.
[EasyBlot anti-mouse IgG (GTX221667-01) was used as a secondary reagent]

4 / 10
Anti-EGFR antibody [GT133] used in Western Blot (WB). GTX628887
GTX628887 WB Image

Various whole cell extracts (30 μg) were separated by 5% SDS-PAGE, and the membrane was blotted with EGFR antibody [GT133] (GTX628887) diluted at 1:5000. The HRP-conjugated anti-mouse IgG antibody (GTX213111-01) was used to detect the primary antibody. Corresponding RNA expression data for the same cell lines are based on Human Protein Atlas program.

5 / 10
Anti-EGFR antibody [GT133] used in IHC (Paraffin sections) (IHC-P). GTX628887
GTX628887 IHC-P Image

EGFR antibody [GT133] detects EGFR protein at cell membrane on human ovarian carcinoma by immunohistochemical analysis.
Sample: Paraffin-embedded human ovarian carcinoma.
EGFR antibody [GT133] (GTX628887) dilution: 1:500.

Antigen Retrieval: Trilogy™ (EDTA based, pH 8.0) buffer, 15min

6 / 10
Anti-EGFR antibody [GT133] used in IHC (Paraffin sections) (IHC-P). GTX628887
GTX628887 IHC-P Image

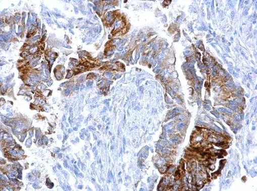
EGFR antibody [GT133] detects EGFR protein at cell membrane on human colon carcinoma by immunohistochemical analysis.
Sample: Paraffin-embedded human colon carcinoma.
EGFR antibody [GT133] (GTX628887) dilution: 1:500.

Antigen Retrieval: Trilogy™ (EDTA based, pH 8.0) buffer, 15min

7 / 10
Anti-EGFR antibody [GT133] used in Western Blot (WB). GTX628887
GTX628887 WB Image

Various whole cell extracts (30 μg) were separated by 5% SDS-PAGE, and the membrane was blotted with EGFR antibody [GT133] (GTX628887) diluted at 1:10000. The HRP-conjugated anti-mouse IgG antibody (GTX213111-01) was used to detect the primary antibody.

8 / 10
Anti-EGFR antibody [GT133] used in Immunocytochemistry/ Immunofluorescence (ICC/IF). GTX628887
GTX628887 ICC/IF Image

EGFR antibody [GT133] detects EGFR protein at cell membrane by immunofluorescent analysis.
Sample: A431 cells were fixed in 4% paraformaldehyde at RT for 15 min.
Green: EGFR stained by EGFR antibody [GT133] (GTX628887) diluted at 1:500.
Blue: Fluoroshield with DAPI (GTX30920).

9 / 10
Anti-EGFR antibody [GT133] used in Western Blot (WB). GTX628887
GTX628887 WB Image

The data was published in the 2022 in J Oncol. PMID: 35646111

10 / 10
Anti-EGFR antibody [GT133] used in Western Blot (WB). GTX628887
Anti-EGFR antibody [GT133] used in Western Blot (WB). GTX628887
Anti-EGFR antibody [GT133] used in Western Blot (WB). GTX628887
Anti-EGFR antibody [GT133] used in Immunoprecipitation (IP). GTX628887
Anti-EGFR antibody [GT133] used in Western Blot (WB). GTX628887
Anti-EGFR antibody [GT133] used in IHC (Paraffin sections) (IHC-P). GTX628887
Anti-EGFR antibody [GT133] used in IHC (Paraffin sections) (IHC-P). GTX628887
Anti-EGFR antibody [GT133] used in Western Blot (WB). GTX628887
Anti-EGFR antibody [GT133] used in Immunocytochemistry/ Immunofluorescence (ICC/IF). GTX628887
Anti-EGFR antibody [GT133] used in Western Blot (WB). GTX628887
  • 宿主
    Mouse
  • 克隆
    Monoclonal
  • 克隆编号
    GT133
  • 同种型
    IgG2b
  • 实验应用
    WB ICC/IF IHC-P IP
  • 种属反应
    Human
摘要
EGFR antibody recognizes epidermal growth factor receptor (EGFR, also known as HER1 in humans), a receptor tyrosine kinase with a predicted molecular weight of 134 kDa. EGFR is involved in epithelial tissue development and homeostasis. It is also a driver of tumorigenesis. Upregulation or abnormal activation of EGFR is frequently found in glioblastomas, lung cancers, and breast cancers, among others.
查看所有 EGFR 的产品