ENO1抗体

目录号 GTX55604
目录号  GTX55604
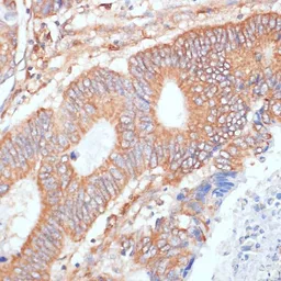
Anti-ENO1 antibody used in IHC (Paraffin sections) (IHC-P). GTX55604
GTX55604 IHC-P Image

IHC-P analysis of human colon carcinoma tissue using GTX55604 ENO1 antibody.
Dilution : 1:100

1 / 6
Anti-ENO1 antibody used in Immunocytochemistry/ Immunofluorescence (ICC/IF). GTX55604
GTX55604 ICC/IF Image

ICC/IF analysis of NIH/3T3 cells using GTX55604 ENO1 antibody.
Blue : DAPI
Dilution : 1:100

2 / 6
Anti-ENO1 antibody used in Western Blot (WB). GTX55604
GTX55604 WB Image

WB analysis of normal (control) and knockout (KO) HeLa cell lysate using GTX55604 ENO1 antibody.
Dilution : 1:3000
Loading : 25μg per lane

3 / 6
Anti-ENO1 antibody used in Immunocytochemistry/ Immunofluorescence (ICC/IF). GTX55604
GTX55604 ICC/IF Image

ICC/IF analysis of U2OS cells using GTX55604 ENO1 antibody.
Blue : DAPI
Dilution : 1:100

4 / 6
Anti-ENO1 antibody used in Western Blot (WB). GTX55604
GTX55604 WB Image

WB analysis of various sample lysates using GTX55604 ENO1 antibody.
Dilution : 1:1000
Loading : 25μg per lane

5 / 6
Anti-ENO1 antibody used in Immunoprecipitation (IP). GTX55604
GTX55604 IP Image

IP analysis of HeLa cell lysate using GTX55604 ENO1 antibody.
Antibody amount : 1μg / 200μg lysate
Dilution : 1:1000

6 / 6
Anti-ENO1 antibody used in IHC (Paraffin sections) (IHC-P). GTX55604
Anti-ENO1 antibody used in Immunocytochemistry/ Immunofluorescence (ICC/IF). GTX55604
Anti-ENO1 antibody used in Western Blot (WB). GTX55604
Anti-ENO1 antibody used in Immunocytochemistry/ Immunofluorescence (ICC/IF). GTX55604
Anti-ENO1 antibody used in Western Blot (WB). GTX55604
Anti-ENO1 antibody used in Immunoprecipitation (IP). GTX55604
  • 宿主
    Rabbit
  • 克隆
    Polyclonal
  • 同种型
    IgG
  • 实验应用
    WB ICC/IF IHC-P IP
  • 种属反应
    Human, Mouse
查看所有 ENO1 的产品