ERK1/2抗体 [HL2948]

目录号 GTX640333
目录号  GTX640333
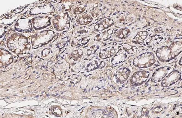
Anti-ERK1/2 antibody [HL2948] used in IHC (Paraffin sections) (IHC-P). GTX640333
GTX640333 IHC-P Image

ERK1/2 antibody [HL2948] detects ERK1/2 protein by immunohistochemical analysis.
Sample: Paraffin-embedded rat colon.
ERK1/2 stained by ERK1/2 antibody [HL2948] (GTX640333) diluted at 1:100.
Antigen Retrieval: Citrate buffer, pH 6.0, 15 min

1 / 7
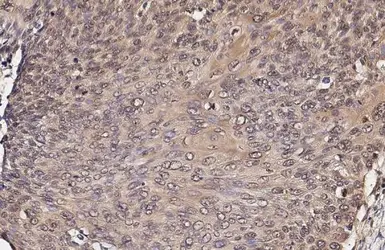
Anti-ERK1/2 antibody [HL2948] used in IHC (Paraffin sections) (IHC-P). GTX640333
GTX640333 IHC-P Image

ERK1/2 antibody [HL2948] detects ERK1/2 protein by immunohistochemical analysis.
Sample: Paraffin-embedded human oral carcinoma.
ERK1/2 stained by ERK1/2 antibody [HL2948] (GTX640333) diluted at 1:100.
Antigen Retrieval: Citrate buffer, pH 6.0, 15 min

2 / 7
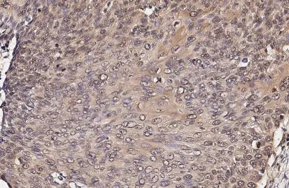
Anti-ERK1/2 antibody [HL2948] used in IHC (Paraffin sections) (IHC-P). GTX640333
GTX640333 IHC-P Image

ERK1/2 antibody [HL2948] detects ERK1/2 protein by immunohistochemical analysis.
Sample: Paraffin-embedded mouse intestine.
ERK1/2 stained by ERK1/2 antibody [HL2948] (GTX640333) diluted at 1:100.
Antigen Retrieval: Citrate buffer, pH 6.0, 15 min

3 / 7
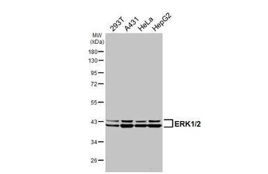
Anti-ERK1/2 antibody [HL2948] used in Western Blot (WB). GTX640333
GTX640333 WB Image

Various whole cell extracts (30 μg) were separated by 10% SDS-PAGE, and the membrane was blotted with ERK1/2 antibody [HL2948] (GTX640333) diluted at 1:1000. The HRP-conjugated anti-rabbit IgG antibody (GTX213110-01) was used to detect the primary antibody.

4 / 7
Anti-ERK1/2 antibody [HL2948] used in Western Blot (WB). GTX640333
GTX640333 WB Image

Various whole cell extracts (30 μg) were separated by 10% SDS-PAGE, and the membrane was blotted with ERK1/2 antibody [HL2948] (GTX640333) diluted at 1:1000. The HRP-conjugated anti-rabbit IgG antibody (GTX213110-01) was used to detect the primary antibody.

5 / 7
Anti-ERK1/2 antibody [HL2948] used in Western Blot (WB). GTX640333
GTX640333 WB Image

Various whole cell extracts (30 μg) were separated by 10% SDS-PAGE, and the membrane was blotted with ERK1/2 antibody [HL2948] (GTX640333) diluted at 1:1000. The HRP-conjugated anti-rabbit IgG antibody (GTX213110-01) was used to detect the primary antibody.

6 / 7
Anti-ERK1/2 antibody [HL2948] used in Immunocytochemistry/ Immunofluorescence (ICC/IF). GTX640333
GTX640333 ICC/IF Image

ERK1/2 antibody [HL2948] detects ERK1/2 protein by immunofluorescent analysis.
Sample: HeLa cells were fixed in 4% paraformaldehyde at RT for 15 min.
Green: ERK1/2 stained by ERK1/2 antibody [HL2948] (GTX640333) diluted at 1:500.
Red: alpha Tubulin, a cytoskeleton marker, stained by alpha Tubulin antibody [GT114] (GTX628802) diluted at 1:1000.
Blue: Fluoroshield with DAPI (GTX30920).

7 / 7
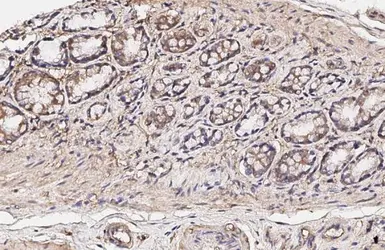
Anti-ERK1/2 antibody [HL2948] used in IHC (Paraffin sections) (IHC-P). GTX640333
Anti-ERK1/2 antibody [HL2948] used in IHC (Paraffin sections) (IHC-P). GTX640333
Anti-ERK1/2 antibody [HL2948] used in IHC (Paraffin sections) (IHC-P). GTX640333
Anti-ERK1/2 antibody [HL2948] used in Western Blot (WB). GTX640333
Anti-ERK1/2 antibody [HL2948] used in Western Blot (WB). GTX640333
Anti-ERK1/2 antibody [HL2948] used in Western Blot (WB). GTX640333
Anti-ERK1/2 antibody [HL2948] used in Immunocytochemistry/ Immunofluorescence (ICC/IF). GTX640333
  • 宿主
    Rabbit
  • 克隆
    Monoclonal
  • 克隆编号
    HL2948
  • 同种型
    IgG
  • 实验应用
    WB ICC/IF IHC-P
  • 种属反应
    Human, Mouse, Rat
查看所有 ERK1/2 的产品