Enterovirus 71 VP1抗体

目录号 GTX132339
目录号  GTX132339
Anti-Enterovirus 71 VP1 antibody used in Western Blot (WB). GTX132339
GTX132339 WB Image

Non-infected (–) and infected (+) RD whole cell extracts (30 μg) were separated by 12% SDS-PAGE, and the membrane was blotted with Enterovirus 71 VP1 antibody (GTX132339) diluted at 1:5000. The HRP-conjugated anti-rabbit IgG antibody (GTX213110-01) was used to detect the primary antibody.

1 / 8
Anti-Enterovirus 71 VP1 antibody used in Western Blot (WB). GTX132339
GTX132339 WB Image

Non-transfected (–) and transfected (+) 293T whole cell extracts (30 μg) were separated by 12% SDS-PAGE, and the membrane was blotted with Enterovirus 71 VP1 antibody (GTX132339) diluted at 1:5000. The HRP-conjugated anti-rabbit IgG antibody (GTX213110-01) was used to detect the primary antibody.

2 / 8
Anti-Enterovirus 71 VP1 antibody used in Immunocytochemistry/ Immunofluorescence (ICC/IF). GTX132339
GTX132339 ICC/IF Image

EV71 VP1 antibody detects EV71 VP1 protein by immunofluorescent analysis. Sample: RD cell infected with EV71 were fixed in 4% paraformaldehyde. Green: EV71 VP1 protein stained by EV71 VP1 antibody (GTX132339) diluted at 1:100. Blue: DAPI staining. Scale bar = 500 μm.

3 / 8
Anti-Enterovirus 71 VP1 antibody used in Western Blot (WB). GTX132339
GTX132339 WB Image

Non-infected (–) and infected RD whole cell extracts (30 μg) were separated by 12% SDS-PAGE, and the membrane was blotted with Enterovirus 71 VP1 antibody (GTX132339) diluted at 1:5000.

4 / 8
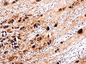
Anti-Enterovirus 71 VP1 antibody used in IHC (Paraffin sections) (IHC-P). GTX132339
GTX132339 IHC-P Image

EV71 VP1 antibody detects EV71 VP1 protein in EV71 infected mouse skeletal muscle by immunohistochemical analysis. Sample: Paraffin-embedded EV71 infected mouse skeletal muscle. EV71 VP1 antibody [GTX132339] diluted at 1:500
Antigen Retrieval: Citrate buffer

5 / 8
Anti-Enterovirus 71 VP1 antibody used in Western Blot (WB). GTX132339
GTX132339 WB Image

The data was published in the journal Viruses in 2020.PMID: 32276428

6 / 8
Anti-Enterovirus 71 VP1 antibody used in Western Blot (WB). GTX132339
GTX132339 WB Image

The data was published in the journal Viruses in 2020.PMID: 32276428

7 / 8
Anti-Enterovirus 71 VP1 antibody used in Western Blot (WB). GTX132339
GTX132339 WB Image

The data was published in the journal Viruses in 2020.PMID: 32276428

8 / 8
Anti-Enterovirus 71 VP1 antibody used in Western Blot (WB). GTX132339
Anti-Enterovirus 71 VP1 antibody used in Western Blot (WB). GTX132339
Anti-Enterovirus 71 VP1 antibody used in Immunocytochemistry/ Immunofluorescence (ICC/IF). GTX132339
Anti-Enterovirus 71 VP1 antibody used in Western Blot (WB). GTX132339
Anti-Enterovirus 71 VP1 antibody used in IHC (Paraffin sections) (IHC-P). GTX132339
Anti-Enterovirus 71 VP1 antibody used in Western Blot (WB). GTX132339
Anti-Enterovirus 71 VP1 antibody used in Western Blot (WB). GTX132339
Anti-Enterovirus 71 VP1 antibody used in Western Blot (WB). GTX132339
  • 宿主
    Rabbit
  • 克隆
    Polyclonal
  • 同种型
    IgG
  • 实验应用
    WB ICC/IF IHC-P
  • 种属反应
    Enterovirus 71
查看所有 Enterovirus 71 VP1 的产品